


Отбеливание зубов по системе Flash позволяет осветлить эмаль на 7–8 тонов за один сеанс Благодаря щадящей формуле процедура подходит для чувстви...
(Снимок не выдается на руки и используется для диагностики в клинике)
У нас не просто лечат зубы — у нас заботятся о человеке. Мы соединяем технологии, комфорт и искреннее отношение, чтобы каждый визит оставлял только тёплые ощущения.
Передовые технологии, ИИ и цифровая точность — для максимально точной диагностики и идеального результата.
Уют, забота и чуткий подход — даже тем, кто раньше боялся стоматологов, у нас спокойно и легко.
Нежно, внимательно, с искренним участием. Мы рядом, чтобы всё прошло комфортно — независимо от возраста.
Каждый специалист нашей клиники — это неотъемлемая часть единого механизма, где слаженная работа обеспечивает комфорт, заботу о пациентах и превосходный результат. Мы стремимся к высочайшему качеству лечения и создаем атмосферу доверия, в которой каждый чувствует себя в надежных руках

Стоматолог-имплантолог, хирург, ортопед
10 лет

Специализация: Детская, терапевтическая, хирургическая стоматология, стоматология общей практики
Более 8 лет работы

Специализация: Ортодонтия и Детская стоматология
Более 3-х лет работы

Специализация: Профилактическая стоматология
Более 3-х лет работы

Специализация: Старшая медсестра Медицинский логопед и миофункциональный логопед-дефектолог
более 20 лет

Старший зубной техник
Более 15 лет

Администратор в клинике Dental Neo
00/00


Запишитесь на Check-Up – комплексное обследование, в рамках которого выявляются все имеющиеся заболевания ротовой полости и оценивается состояние зубов и тканей
Осмотр ротовой полости врачом-стоматологом
3D цифровая рентгено-диагностика (КЛКТ)
Фотопротокол
Флуоресцентная диагностика — это современный неинвазивный метод выявления новообразований
Анализ состояния мягких и твердых тканей ротовой полости
Для вашей здоровой улыбки

Лечение зубов у детей, профилактика заболеваний, забота о правильном формировании прикуса
от 1 725 руб.

Исправление прикуса с помощью съемных ортодонтических конструкций, брекет-систем и элайнеров
от 60 000 руб.

Консультации терапевта, ортопеда, ортодонта, хирурга, детского стоматолога.
от 2 300 руб.







Администратор
Ваше лечение - наша забота: специалист высшей категории подберет индивидуальный план и создаст комфорт на каждом этапе



Отбеливание зубов по системе Flash позволяет осветлить эмаль на 7–8 тонов за один сеанс Благодаря щадящей формуле процедура подходит для чувстви...



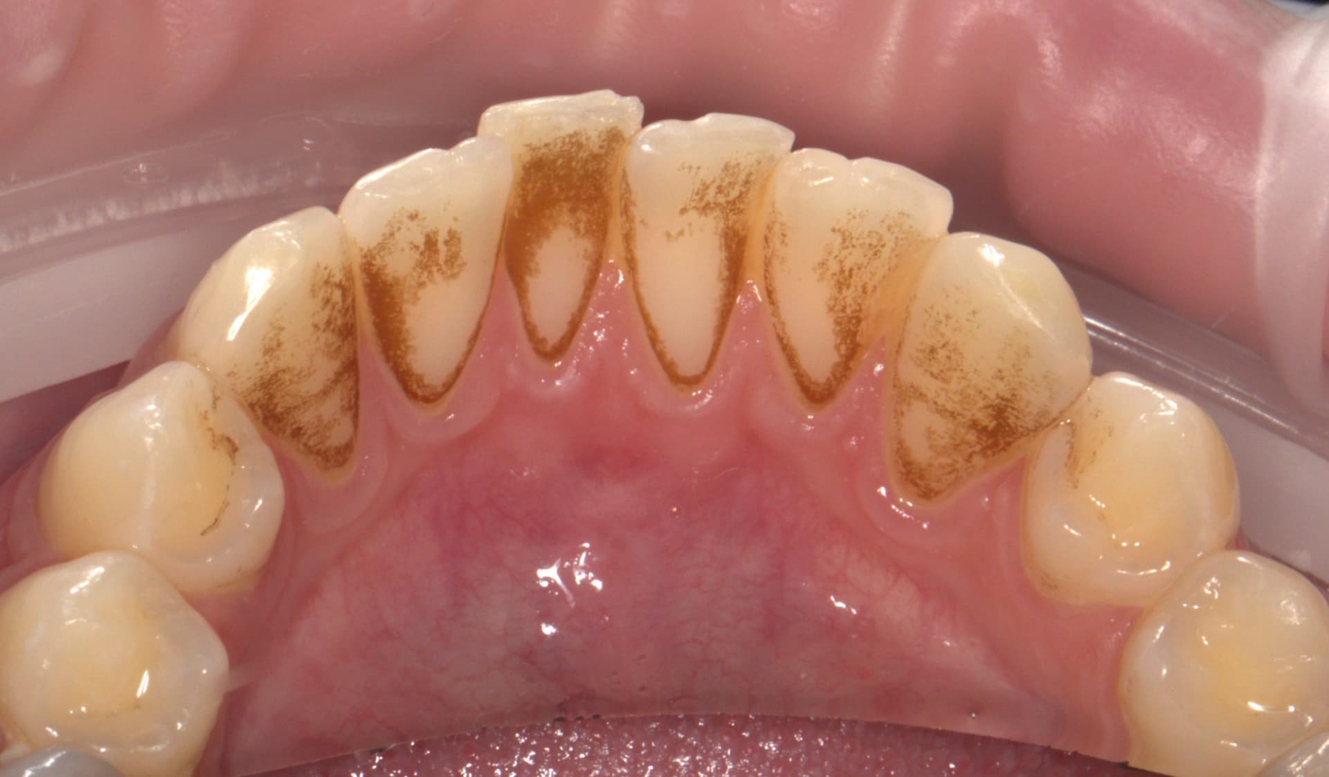
GBT-гигиена — это профессиональная чистка зубов по протоколу Guided Biofilm Therapy.
Она проводится с использованием новейшего оборудования и мягких порошков AirFlow®, ко...



Перед началом ортодонтического лечения и протезирования
необходима санация полости рта.
Лечение кариеса, пульпита и периодонтита устраняет
хронические очаги ин...



Отбеливание зубов по системе Flash позволяет осветлить эмаль на 7–8 тонов за один сеанс Благодаря щадящей формуле процедура подходит для чувстви...



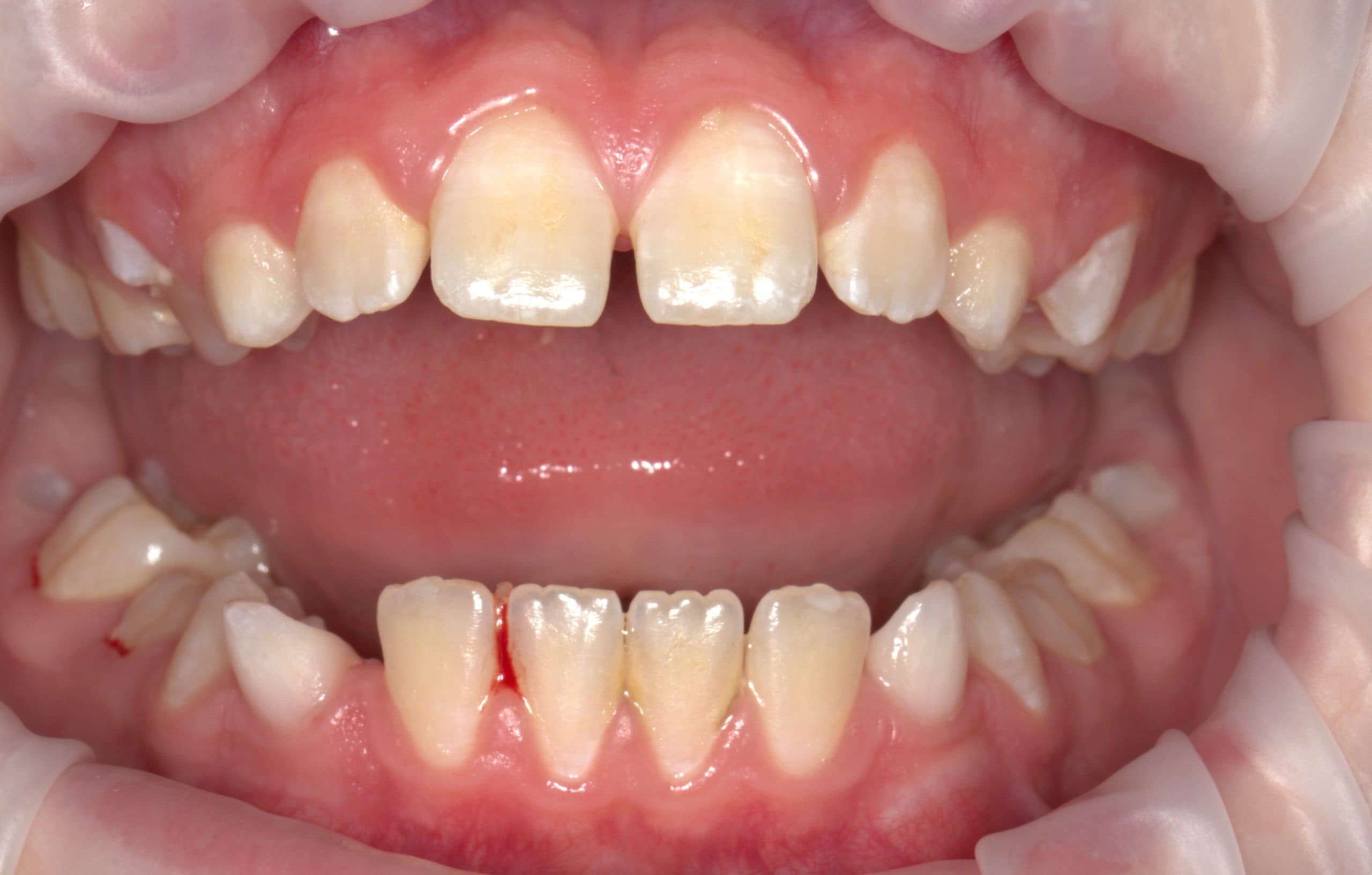
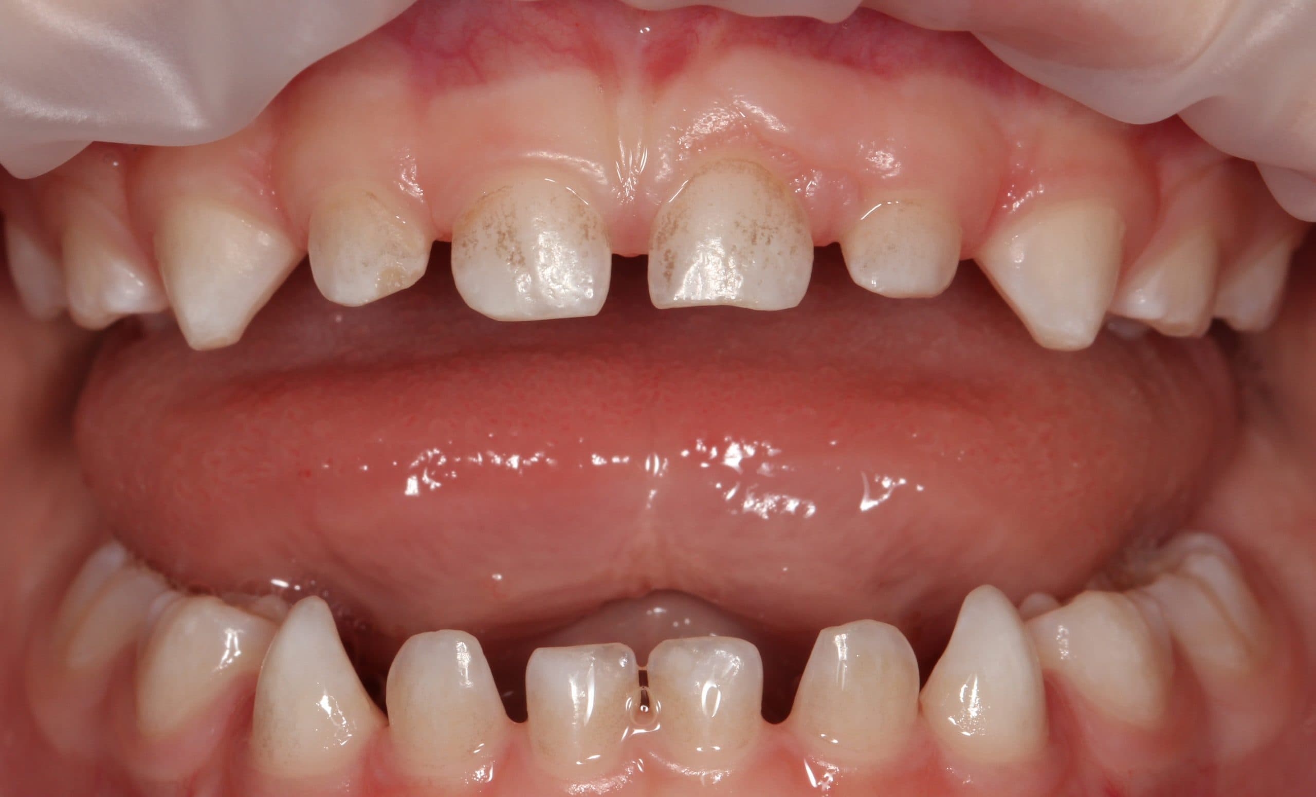
Профессиональная гигиена у детей позволяет вовремя удалить зубной налет и предотвратить развитие кариеса. Во время процедуры мы обучаем ребёнка п...



Профессиональная гигиена у детей позволяет вовремя удалить зубной налет и предотвратить развитие кариеса. Во время процедуры мы обучаем ребёнка п...



Лечение кариеса



Лечение кариеса
00/00

Теперь главное место для лечения зубов. Современное оборудование, очень профессиональные врачи. Пролечила 12 зубов у Светланы Викторовны (даже в сложных случая сохранила нервы, без осложнений). Что понравилось особенно: не навязывают доп. услуги и цена за лечение прозрачная сразу. Ни разу не было такого, что сначала озвучили одну цену, а потом сверху добавили за рентген, микроскоп и чай во время ожидания приема😅
15.11.2025 | Терапевтическое лечение
Посещали клинику dental neo с целью удаления зуба. Хочу отметить высокий профессионализм и индивидуальный подход к ребёнку доктора Антиповой Светланы Викторовны. Впечатление от посещения очень положительное, дочке включили её любимый мультфильм, предложили выбрать очки, чтобы свет лампы не ослеплял глазки, в конце угостили мороженым и подарили подарок. Такой подход свёл страх к минимуму и оставил прекрасное впечатление от клиники. Большое спасибо!
09.11.2025 | Удаление зуба
Лучшие зайки на свете. Делают для людей, с душой и без боли. Не важно сколько тебе лет, дадут игрушку антистресс и напоят кофе. Огромное Вам спасибо, за бесценный труд.
24.10.2025 | О работе клиники
Очень приятное впечатление от посещения клиники. Персонал нашёл подход к особенному ребёнку, перенаправили в клинику, где возможно лечение под седацией. Систематически интересовались состоянием здоровья и этапами лечения ребенка. Спасибо большое.
02.08.2025 | Терапевтическая стоматология
Была на консультации у Арнольда Вячеславовича! Под приятным впечатлением от работы этого специалиста и клиники! Приятная атмосфера, грамотный персонал!
22.07.2025 | Ортодонтическое лечение

Делала лазерное отбеливание. Врач, Гончарова Виктория очень бережно и аккуратно подошла к процессу. Буквально каждую минуту была рядом. По опыту знаю, что часто при отбеливании врачи при режиме ожидания оставляют пациента и уходят делать свои дела. Спасибо Юлии, которая подробно все рассказала и всегда была на связи!
22.07.2025 | Эстетическая стоматология
Классная клиника, супер специалисты. Очень хорошее соотношение цена и качество. Дружелюбный коллектив, есть вай фай.
16.07.2025 | Терапевтическая стоматология
С дочкой обратились в клинику «Дентал Нео»для установки брекетов. По рекомендациям попали к Дарье Михайловне — она провела диагностику, подробно всё объяснила, составила план лечения и уже поставила брекеты. Очень радует отношение врачей и атмосфера в клинике. Спасибо
02.07.2025 | Ортодонтическое лечение
Замечательный ортодонт Дарья Михайловна!!!Работу выполняет быстро и безболезненно!Приятный не только врач,но и человек🫶🏼🙏🏼
02.07.2025 | Ортодонтическое лечение


Спасибо огромное за прекрасный прием Светлане и Арнольду. Сервис у Вас на высоте 👍 и про любимого героя спросили и мороженым угостили и подарок подарили, с сыном поговорили, супер 👍 Ребенок в восторге от посещения Вашей стоматологии 😄 Готов дальше лечить зубки, благодаря Вам страхов больше нет, только приятные эмоции 😊 Желаю Вам процветания 🌸 и еще раз огромное Вам спасибо за Вашу работу, ведь Вы не просто стоматологи, но и еще прекрасные психологи 😊
26.06.2025 | Терапевтическая стоматология
Сходив в обычную стоматологию, было выявлено, что мне нужно удалить зуб мудрости... От многих слышал что процедура очень болезненная. Решил почитать отзывы и наткнулся на эту клинику. Записался на первичны осмотр и попал к Михаилу Вячеславовичу, он тоже сказал, что нужно удалять и я решил довериться ему. Процедура удаления прошла без боли, я даже ничего не почувствовал, Михаил Вячеславович просто волшебник))
05.06.2025 | Хирургическая стоматология
Спасибо специалистам из Дентал Нео за профессионализм. За большой спектр оказываемых услуг) Я обратился сюда, чтобы мне установили пломбу, также узнал, что есть детская стоматология и отвел ребенка на чистку зубов) Это очень удобно, что все в одном месте и самое главное все качественно!
05.06.2025 | Терапевтическая стоматология
У ребенка образовался кариес, и нужно было срочно его лечить, обратились в Дентал Нео. Очень много положительных отзывов было о Светлане Викторовне, решили записать к ней) Подход к ребенку был найден моментально, сидел в кресле спокойно Также получили консультацию по уходу. Я рада, что у нас поблизости появилась такая клиника))
15.05.2025 | Терапевтическая стоматология
У сына, нужно было исправить прикус, мы обратились к Дарье Михайловне. Сначала провели консультацию и диагностику, в дальнейшем уже составили план лечения. Результат меня очень порадовал. В целом, клиника оснащена профессиональным оборудованием, квалифицированными специалистами, все очень классно, сюда хочется возвращаться!
15.05.2025 | Ортодонтическое лечение

Выбирала между несколькими клиниками, и остановилась на Дентал Нео. Клиника недавно открылась, специалисты квалифицированы, оборудование новое. осмотр прошел качественно и быстро, получилась также консультацию по уходу за зубами. Клиника оказывает большой спектр услуг, поэтому обязательно сюда вернусь.
15.05.2025 | Терапевтическая стоматология
Решила обратиться в данную стоматологию за консультацией, мои зубы требовали реставрации(( Консультацию провела Мария Леонидовна, была в полном восторге! Записалась к ней же на реставрацию, буду теперь ходить с идеальной улыбкой, ураа!!
15.05.2025 | Эстетическая реставрация
Спасибо Светлане Викторовне из Дентал Нео, за качественно проведенную процедуру чистки зубов у моей дочки)) Она у меня очень капризная, и я боялась как она будет себя вести в кресле, но Светлана Викторовна нашла подход к ней и прошло все спокойно) Также получили рекомендации по правильному уходу! В этой клинике работают настоящие профессионалы!!!
15.05.2025 | Профессиональная гигиена и профилактика
Записался онлайн, сервис хороший, все сделали быстро. Я, доволен
11.02.2025 | Эстетическая реставрация


Отличная клиника! Профессиональный персонал, новейшее оборудование, приемлемые цены! Рекомендую!
05.02.2025 | Гигиена по протоколу GPT
После моего визита в обычную стоматологическую клинику у меня откололся зуб, который требовал восстановления… Решила, что восстанавливать зуб я пойду точно в другую клинику, и моя подруга порекомендовала мне обратиться в Dental Neo Clinic, а именно к Марии Леонидовне. Я осталась очень довольна результатом ее работы. Я даже записалась на чистку, а узнав, что есть детская стоматология, записала своего сына на осмотр))
12.04.2025 | Эстетическая реставрация
Попали в клинику экстренно с острой болью у ребенка. Нам оперативно нашли окошко для приема, во всех остальных клиниках рядом с домом отказали. А в клинике, где мы лечили зубы раньше, даже на снимке не заметили проблему, которую сразу нашли здесь. Разница во времени приема была 6 дней. Лечение проходило в два этапа. Пломба, установленная доктором в молочном зубе не отличима от самого зуба. Мой сын и раньше любил ходить к стоматологу, но после визита в эту клинику, каждую неделю просится снова что-нибудь вылечить. Клиника только открылась, все новое, супер современное, стильное, в туалетной комнате хотелось задержаться подольше😂 Такая она уютная! Персонал доброжелательный и профессиональный! Кофе вкусный))) После лечения ребенка, я пришла на прием к ортодонту на консультацию, мне сделали необходимые снимки и отправили решать сначала проблемы к ЛОРу, а уже потом я вернусь сюда для установки брекет-системы. Спасибо что обнаружили проблему и отправили ее решать! Про цены: немного выше среднего, но за такой уровень сервиса, не жалко. Смело рекомендую и очень хочу поскорее вернуться, как бы странно это не звучало)
11.02.2025 | Лечение
Приходишь в стамотологию и попалаешь в уютную атмосферу) Везде чистота, современный дизайн и новейшее оборудование. Персонал клиники очень приветливый и всё доходчиво разъясняет) Цены очень приемлемые ) Могу спокойно довериться профессионалам))
11.03.2025 | Диагностика и лечение
Сходил на осмотр и остался очень доволен. Современное оборудование, отношение к пациентам отличное, врачи-профессионалы своего дела. Осмотр прошел довольно-таки быстро и качественно. Уже записался на лечение. Отличное место, где чувствуешь себя очень комфортно. Интерьер в клинике стильный, я бы даже сказал эстетичный) Услуги, которые оказывает клиника довольно разнообразные, даже есть детская стоматология, что очень удобно!
02.04.2025 | Осмотр

Была на консультации по исправлению прикуса у Дарьи Михайловны. Доктор провела необходимую диагностику и подробно рассказала про мой прикус! Предложила разные варианты по исправлению, остановились на элайнерах;)) Клиника современно оснащена, приятный персонал. Я довольна🤗
08.04.2025 | Иправление прикуса
Очень давно хотела установить брекеты, но никак не могла определиться с клиникой. Изучила множество отзывов и в конечном итоге выбрала Dental Neo Clinic. Записалась на первичную консультацию к Макаровой Дарье Михайловне. Сделали диагностику и рассказали какие у нас будут дальнейшие действия) Пока я нахожусь в процессе установки брекетов, но уже могу сказать, что не пожалела о выборе клиники. Обслуживание пациентов на высоком уровне, а сама клиника новая, стильная, красивая😍 Сюда 100% хочется возвращаться)
01.04.2025 | Диагностика
Клиника открылась совсем недавно, все оборудование новое и высокотехнологичное, кругом идеальная чистота. Мне была оказана процедура профессиональной гигиены полости рта по протоколу GBT. Никаких неприятных ощущений не испытала, все прошло замечательно. У доктора золотые руки. Близкие заметили, что после процедуры зубы стали даже визуально белее.
26.02.2025 | Гигиена полости рта
Какая замечательная клиника! Заходила на консультацию и осталась под прекрасным впечатлением. Очень внимательный и доброжелательный персонал, приятная атмосфера. Доктор подробно объяснила всё на понятном языке, ответила на все мои вопросы и предложила оптимальные варианты лечения. Чувствуется высокий профессионализм и забота о пациентах. Обязательно приду снова и рекомендую эту клинику всем, кто ищет качественное стоматологическое обслуживание!
24.01.2025 | Консультация


У Михаил Вячеславович устанавливал коронки. До приема прочитал много информации в интернете о том, какой материал коронки хуже/лучше, и точно могу сказать, что по этому вопросу лучше проконсультироваться с врачом. Сразу всё становится понятно, никакой воды. К качеству коронки и к ее установке у меня претензий нет. Доктор сделал всё быстро и надежно
12.11.2024 | Протезирование
Я записался на прием к стоматологу для плановой проверки и чистки зубов. Врач, который меня принимал, оказался настоящим профессионалом. Он подробно объяснил все этапы процедуры, ответил на все мои вопросы и развеял мои страхи. Чувствовалось, что доктор заботится о своих пациентах и стремится сделать все максимально безболезненно.
12.03.2025 | Плановая диагностика
00/00
Теперь главное место для лечения зубов. Современное оборудование, очень профессиональные врачи. Пролечила 12 зубов у Светланы Викторовны (даже в сложных случая сохранила нервы, без осложнений). Что понравилось особенно: не навязывают доп. услуги и цена за лечение прозрачная сразу. Ни разу не было такого, что сначала озвучили одну цену, а потом сверху добавили за рентген, микроскоп и чай во время ожидания приема😅
15.11.2025 | Терапевтическое лечение
Посещали клинику dental neo с целью удаления зуба. Хочу отметить высокий профессионализм и индивидуальный подход к ребёнку доктора Антиповой Светланы Викторовны. Впечатление от посещения очень положительное, дочке включили её любимый мультфильм, предложили выбрать очки, чтобы свет лампы не ослеплял глазки, в конце угостили мороженым и подарили подарок. Такой подход свёл страх к минимуму и оставил прекрасное впечатление от клиники. Большое спасибо!
09.11.2025 | Удаление зуба
Лучшие зайки на свете. Делают для людей, с душой и без боли. Не важно сколько тебе лет, дадут игрушку антистресс и напоят кофе. Огромное Вам спасибо, за бесценный труд.
24.10.2025 | О работе клиники
Очень приятное впечатление от посещения клиники. Персонал нашёл подход к особенному ребёнку, перенаправили в клинику, где возможно лечение под седацией. Систематически интересовались состоянием здоровья и этапами лечения ребенка. Спасибо большое.
02.08.2025 | Терапевтическая стоматология
Была на консультации у Арнольда Вячеславовича! Под приятным впечатлением от работы этого специалиста и клиники! Приятная атмосфера, грамотный персонал!
22.07.2025 | Ортодонтическое лечение
Делала лазерное отбеливание. Врач, Гончарова Виктория очень бережно и аккуратно подошла к процессу. Буквально каждую минуту была рядом. По опыту знаю, что часто при отбеливании врачи при режиме ожидания оставляют пациента и уходят делать свои дела. Спасибо Юлии, которая подробно все рассказала и всегда была на связи!
22.07.2025 | Эстетическая стоматология
Классная клиника, супер специалисты. Очень хорошее соотношение цена и качество. Дружелюбный коллектив, есть вай фай.
16.07.2025 | Терапевтическая стоматология
С дочкой обратились в клинику «Дентал Нео»для установки брекетов. По рекомендациям попали к Дарье Михайловне — она провела диагностику, подробно всё объяснила, составила план лечения и уже поставила брекеты. Очень радует отношение врачей и атмосфера в клинике. Спасибо
02.07.2025 | Ортодонтическое лечение
Замечательный ортодонт Дарья Михайловна!!!Работу выполняет быстро и безболезненно!Приятный не только врач,но и человек🫶🏼🙏🏼
02.07.2025 | Ортодонтическое лечение
Спасибо огромное за прекрасный прием Светлане и Арнольду. Сервис у Вас на высоте 👍 и про любимого героя спросили и мороженым угостили и подарок подарили, с сыном поговорили, супер 👍 Ребенок в восторге от посещения Вашей стоматологии 😄 Готов дальше лечить зубки, благодаря Вам страхов больше нет, только приятные эмоции 😊 Желаю Вам процветания 🌸 и еще раз огромное Вам спасибо за Вашу работу, ведь Вы не просто стоматологи, но и еще прекрасные психологи 😊
26.06.2025 | Терапевтическая стоматология
Сходив в обычную стоматологию, было выявлено, что мне нужно удалить зуб мудрости... От многих слышал что процедура очень болезненная. Решил почитать отзывы и наткнулся на эту клинику. Записался на первичны осмотр и попал к Михаилу Вячеславовичу, он тоже сказал, что нужно удалять и я решил довериться ему. Процедура удаления прошла без боли, я даже ничего не почувствовал, Михаил Вячеславович просто волшебник))
05.06.2025 | Хирургическая стоматология
Спасибо специалистам из Дентал Нео за профессионализм. За большой спектр оказываемых услуг) Я обратился сюда, чтобы мне установили пломбу, также узнал, что есть детская стоматология и отвел ребенка на чистку зубов) Это очень удобно, что все в одном месте и самое главное все качественно!
05.06.2025 | Терапевтическая стоматология
У ребенка образовался кариес, и нужно было срочно его лечить, обратились в Дентал Нео. Очень много положительных отзывов было о Светлане Викторовне, решили записать к ней) Подход к ребенку был найден моментально, сидел в кресле спокойно Также получили консультацию по уходу. Я рада, что у нас поблизости появилась такая клиника))
15.05.2025 | Терапевтическая стоматология
У сына, нужно было исправить прикус, мы обратились к Дарье Михайловне. Сначала провели консультацию и диагностику, в дальнейшем уже составили план лечения. Результат меня очень порадовал. В целом, клиника оснащена профессиональным оборудованием, квалифицированными специалистами, все очень классно, сюда хочется возвращаться!
15.05.2025 | Ортодонтическое лечение
Выбирала между несколькими клиниками, и остановилась на Дентал Нео. Клиника недавно открылась, специалисты квалифицированы, оборудование новое. осмотр прошел качественно и быстро, получилась также консультацию по уходу за зубами. Клиника оказывает большой спектр услуг, поэтому обязательно сюда вернусь.
15.05.2025 | Терапевтическая стоматология
Решила обратиться в данную стоматологию за консультацией, мои зубы требовали реставрации(( Консультацию провела Мария Леонидовна, была в полном восторге! Записалась к ней же на реставрацию, буду теперь ходить с идеальной улыбкой, ураа!!
15.05.2025 | Эстетическая реставрация
Спасибо Светлане Викторовне из Дентал Нео, за качественно проведенную процедуру чистки зубов у моей дочки)) Она у меня очень капризная, и я боялась как она будет себя вести в кресле, но Светлана Викторовна нашла подход к ней и прошло все спокойно) Также получили рекомендации по правильному уходу! В этой клинике работают настоящие профессионалы!!!
15.05.2025 | Профессиональная гигиена и профилактика
Записался онлайн, сервис хороший, все сделали быстро. Я, доволен
11.02.2025 | Эстетическая реставрация
Отличная клиника! Профессиональный персонал, новейшее оборудование, приемлемые цены! Рекомендую!
05.02.2025 | Гигиена по протоколу GPT
После моего визита в обычную стоматологическую клинику у меня откололся зуб, который требовал восстановления… Решила, что восстанавливать зуб я пойду точно в другую клинику, и моя подруга порекомендовала мне обратиться в Dental Neo Clinic, а именно к Марии Леонидовне. Я осталась очень довольна результатом ее работы. Я даже записалась на чистку, а узнав, что есть детская стоматология, записала своего сына на осмотр))
12.04.2025 | Эстетическая реставрация
Попали в клинику экстренно с острой болью у ребенка. Нам оперативно нашли окошко для приема, во всех остальных клиниках рядом с домом отказали. А в клинике, где мы лечили зубы раньше, даже на снимке не заметили проблему, которую сразу нашли здесь. Разница во времени приема была 6 дней. Лечение проходило в два этапа. Пломба, установленная доктором в молочном зубе не отличима от самого зуба. Мой сын и раньше любил ходить к стоматологу, но после визита в эту клинику, каждую неделю просится снова что-нибудь вылечить. Клиника только открылась, все новое, супер современное, стильное, в туалетной комнате хотелось задержаться подольше😂 Такая она уютная! Персонал доброжелательный и профессиональный! Кофе вкусный))) После лечения ребенка, я пришла на прием к ортодонту на консультацию, мне сделали необходимые снимки и отправили решать сначала проблемы к ЛОРу, а уже потом я вернусь сюда для установки брекет-системы. Спасибо что обнаружили проблему и отправили ее решать! Про цены: немного выше среднего, но за такой уровень сервиса, не жалко. Смело рекомендую и очень хочу поскорее вернуться, как бы странно это не звучало)
11.02.2025 | Лечение
Приходишь в стамотологию и попалаешь в уютную атмосферу) Везде чистота, современный дизайн и новейшее оборудование. Персонал клиники очень приветливый и всё доходчиво разъясняет) Цены очень приемлемые ) Могу спокойно довериться профессионалам))
11.03.2025 | Диагностика и лечение
Сходил на осмотр и остался очень доволен. Современное оборудование, отношение к пациентам отличное, врачи-профессионалы своего дела. Осмотр прошел довольно-таки быстро и качественно. Уже записался на лечение. Отличное место, где чувствуешь себя очень комфортно. Интерьер в клинике стильный, я бы даже сказал эстетичный) Услуги, которые оказывает клиника довольно разнообразные, даже есть детская стоматология, что очень удобно!
02.04.2025 | Осмотр
Была на консультации по исправлению прикуса у Дарьи Михайловны. Доктор провела необходимую диагностику и подробно рассказала про мой прикус! Предложила разные варианты по исправлению, остановились на элайнерах;)) Клиника современно оснащена, приятный персонал. Я довольна🤗
08.04.2025 | Иправление прикуса
Очень давно хотела установить брекеты, но никак не могла определиться с клиникой. Изучила множество отзывов и в конечном итоге выбрала Dental Neo Clinic. Записалась на первичную консультацию к Макаровой Дарье Михайловне. Сделали диагностику и рассказали какие у нас будут дальнейшие действия) Пока я нахожусь в процессе установки брекетов, но уже могу сказать, что не пожалела о выборе клиники. Обслуживание пациентов на высоком уровне, а сама клиника новая, стильная, красивая😍 Сюда 100% хочется возвращаться)
01.04.2025 | Диагностика
Клиника открылась совсем недавно, все оборудование новое и высокотехнологичное, кругом идеальная чистота. Мне была оказана процедура профессиональной гигиены полости рта по протоколу GBT. Никаких неприятных ощущений не испытала, все прошло замечательно. У доктора золотые руки. Близкие заметили, что после процедуры зубы стали даже визуально белее.
26.02.2025 | Гигиена полости рта
Какая замечательная клиника! Заходила на консультацию и осталась под прекрасным впечатлением. Очень внимательный и доброжелательный персонал, приятная атмосфера. Доктор подробно объяснила всё на понятном языке, ответила на все мои вопросы и предложила оптимальные варианты лечения. Чувствуется высокий профессионализм и забота о пациентах. Обязательно приду снова и рекомендую эту клинику всем, кто ищет качественное стоматологическое обслуживание!
24.01.2025 | Консультация
У Михаил Вячеславович устанавливал коронки. До приема прочитал много информации в интернете о том, какой материал коронки хуже/лучше, и точно могу сказать, что по этому вопросу лучше проконсультироваться с врачом. Сразу всё становится понятно, никакой воды. К качеству коронки и к ее установке у меня претензий нет. Доктор сделал всё быстро и надежно
12.11.2024 | Протезирование
Я записался на прием к стоматологу для плановой проверки и чистки зубов. Врач, который меня принимал, оказался настоящим профессионалом. Он подробно объяснил все этапы процедуры, ответил на все мои вопросы и развеял мои страхи. Чувствовалось, что доктор заботится о своих пациентах и стремится сделать все максимально безболезненно.
12.03.2025 | Плановая диагностика
00/00










00/00
Наша клиника - это про: высокое качество, безболезненность процедур и доброжелательную атмосферу
Человекоцентричность — не просто принцип, а основа всего, что мы делаем для каждого пациента
Лечение, продуманное до мелочей — под вас и для вас
Комфорт, внимание и результат — на каждом этапе


Администратор
Ваше лечение - наша забота: специалист высшей категории подберет индивидуальный план и создаст комфорт на каждом этапе





00/00
Собственная зуботехническая лаборатория внутри клиники — это гарантия точности, скорости и качества. Все конструкции изготавливаются по цифровому протоколу, что позволяет сократить срок лечения и обеспечить идеальную посадку.
Узнать подробнееБыстрое изготовление
Прямое взаимодействие с врачом
Максимальная эстетика и точность
Рекомендации стоматолога

Зубы, как и любая другая часть нашего организма, нуждаются в защите от негативных внешних воздействий и бактерий. Во многом их здоровье зависит от своевременных посещений стоматолога, но немалую роль играет и правильный домашний уход
Зубы следует чистить выметающими движениями, от десны к краю зуба очищают боковые поверхности и добавляют круговые движения
Движения вперед-назад выполняют при чистке жевательных поверхностей
Чтобы какой-то участок не был пропущен, условно поделите каждую челюсть на 2 части. Каждый участок начинают чистить от центра.








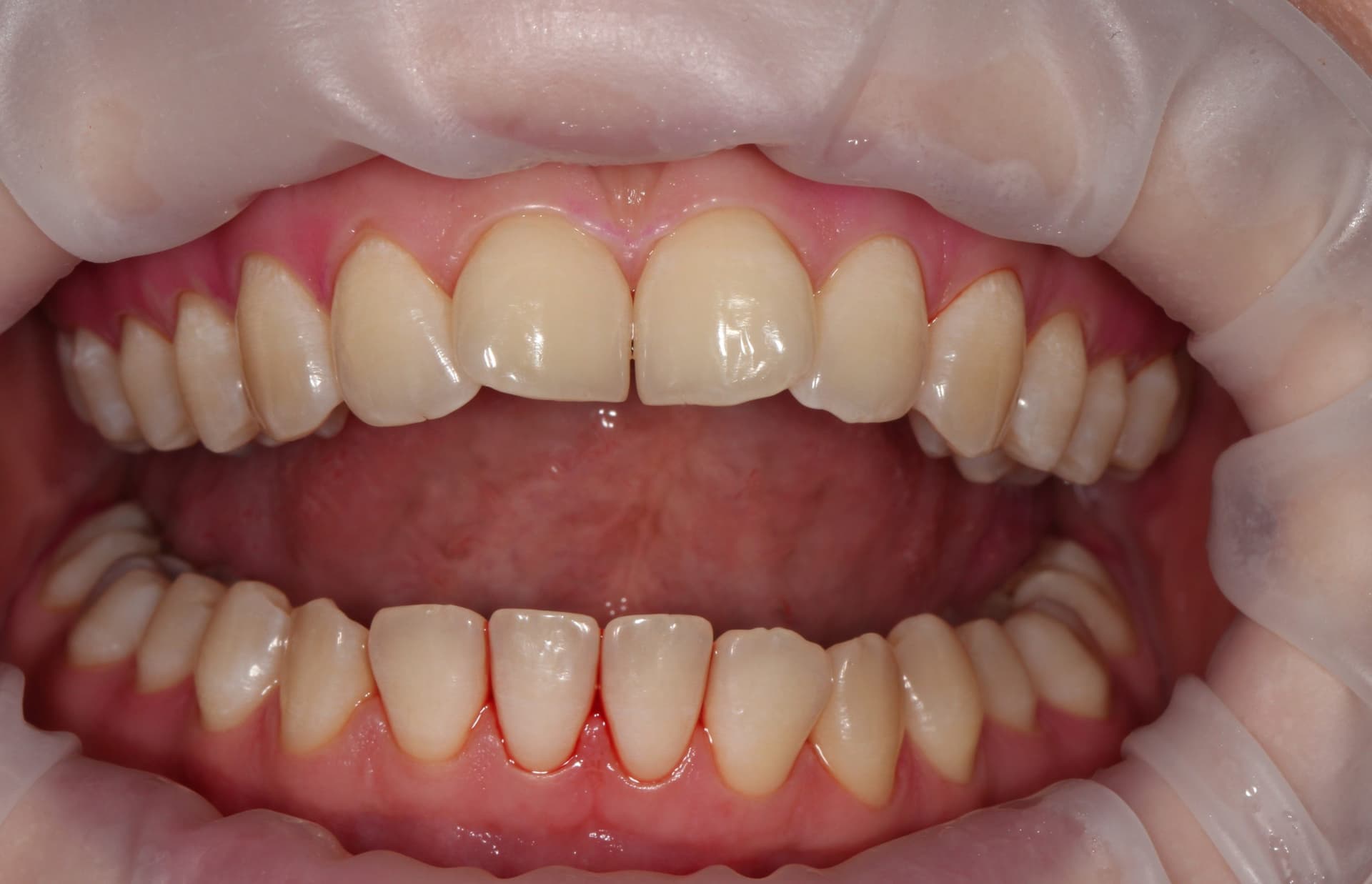
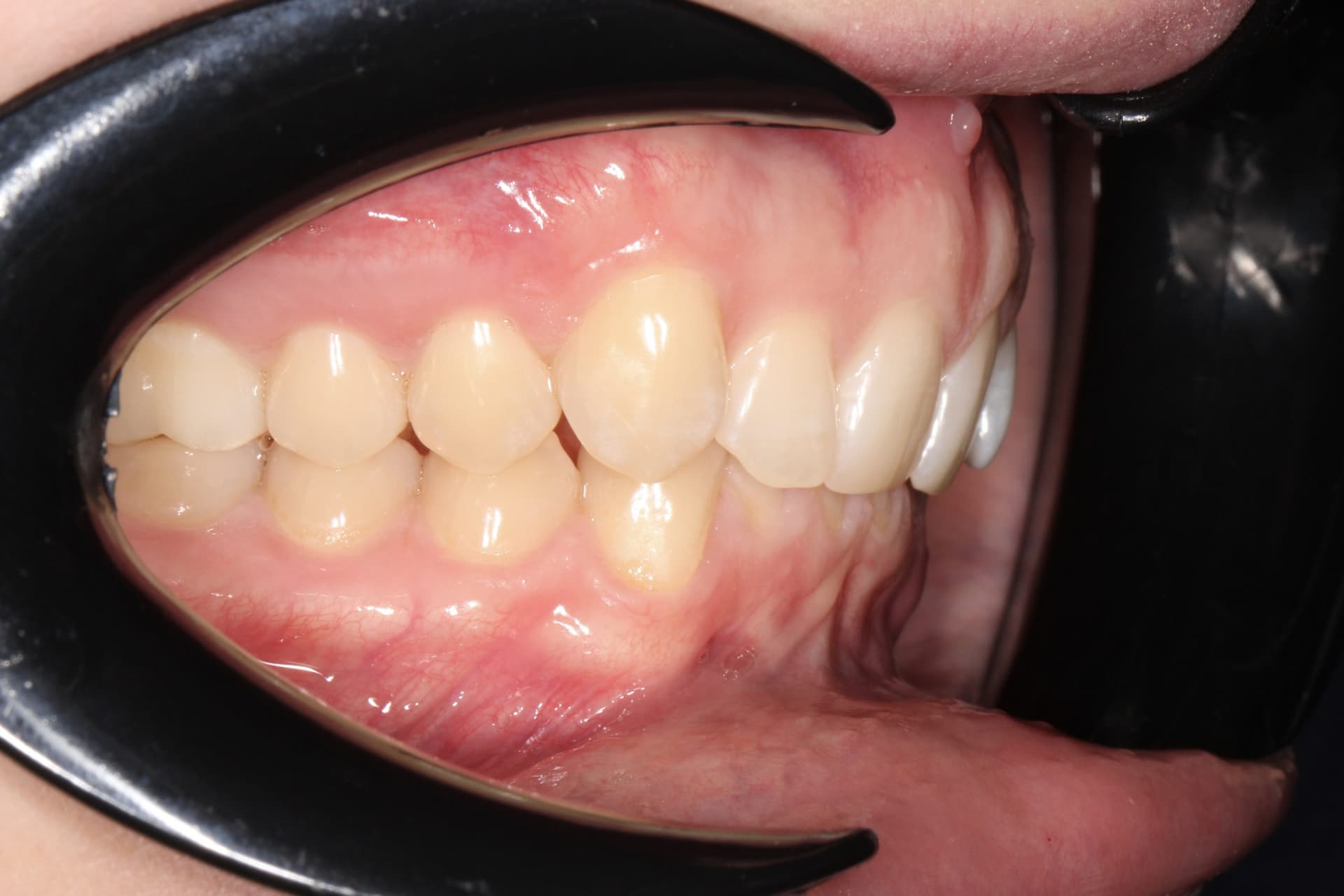
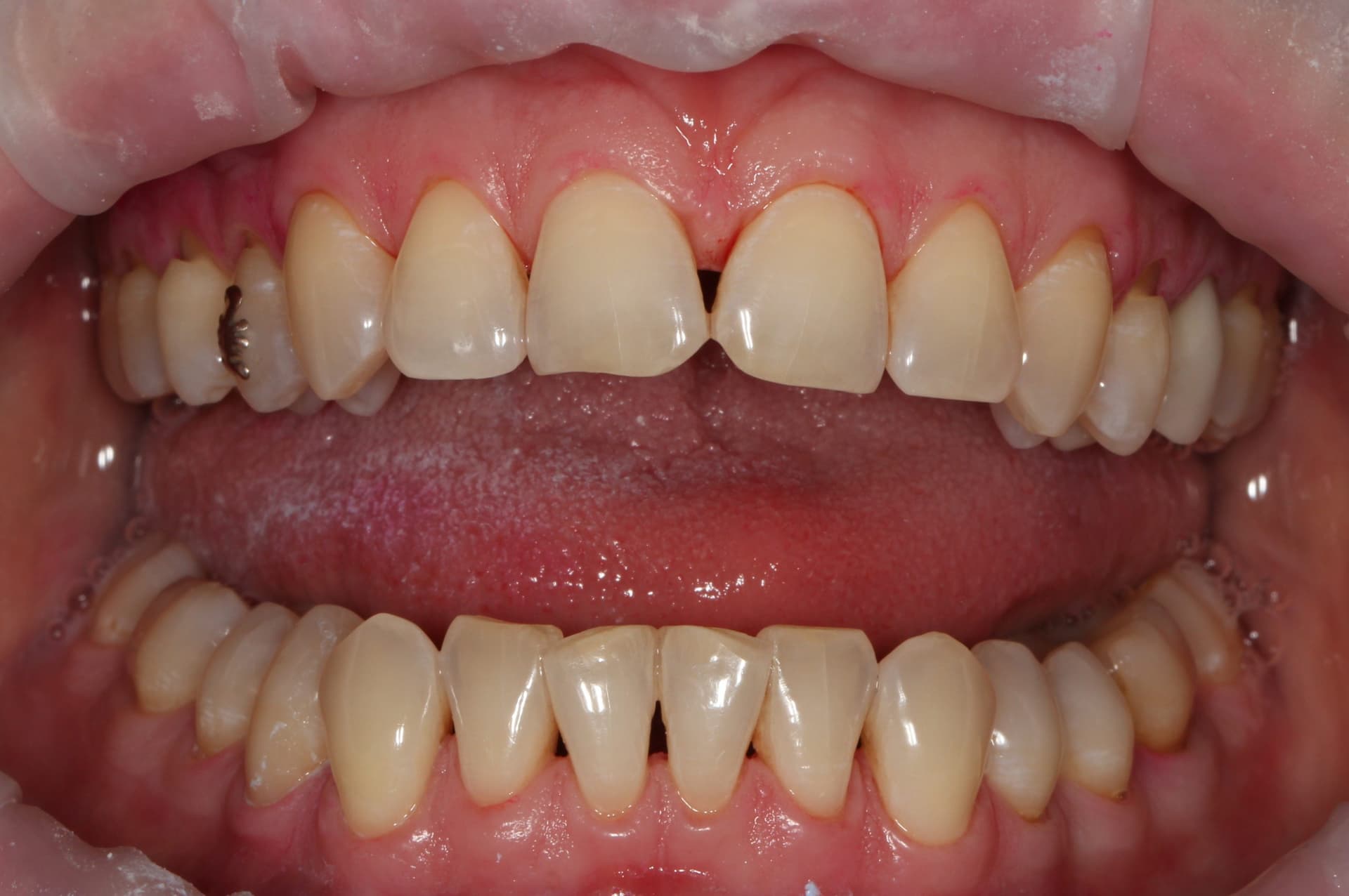
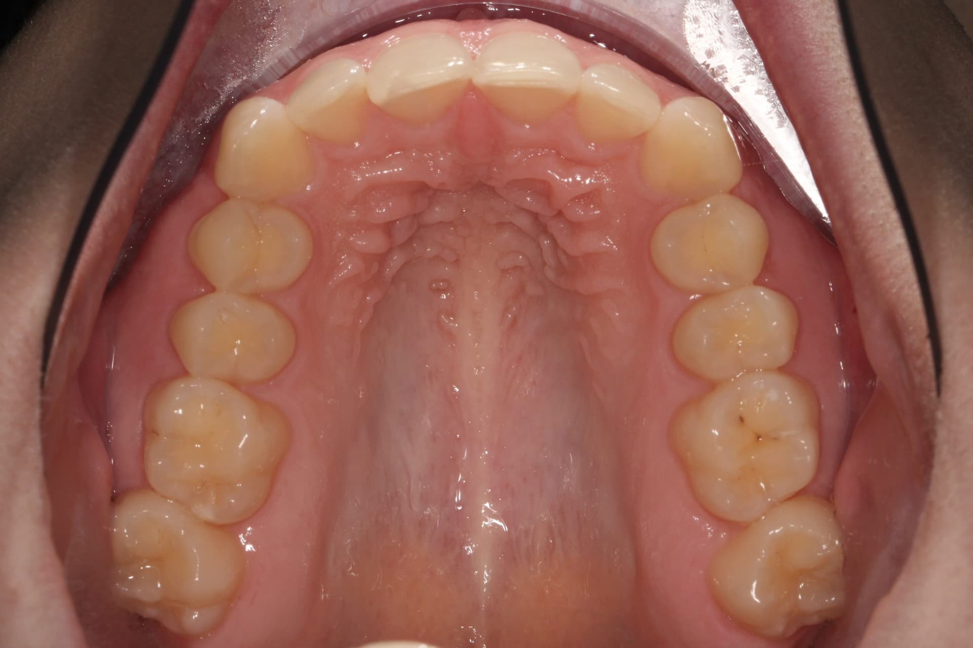
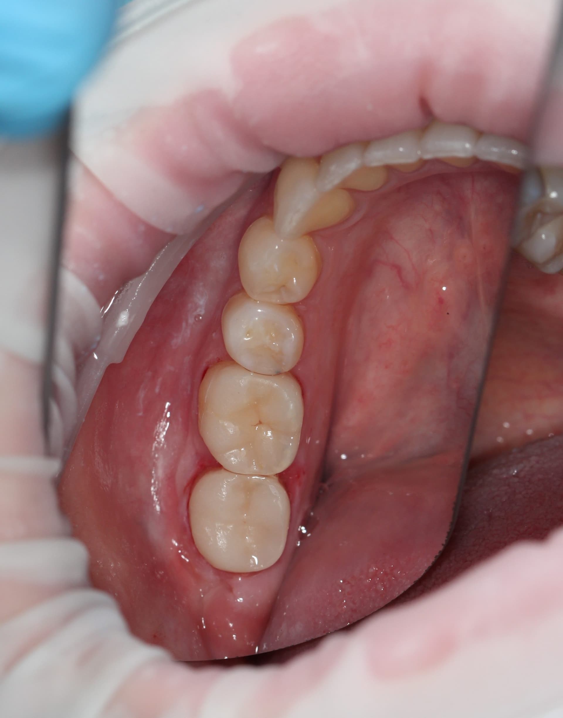
Пациентка ранее устанавливала имплант в другом городе. Обратилась к нам с целью протезирования (Установить коронку). После осмотра и консультации было принято решение сначала п...
Врач: Герман Татаринцев






Гигиена подростку перед ортодонтическим лечением и санацией полости рта.
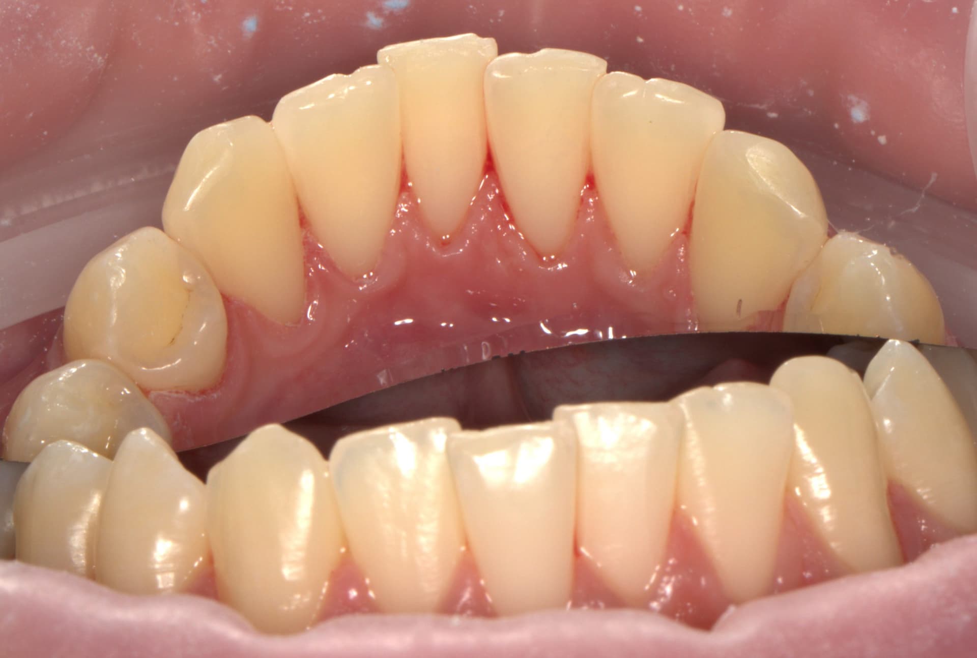
GBT-гигиена — это профессиональная чистка зубов по протоколу Guided Biofilm Therapy.
Она п...
Врач: Дарья Гончарова








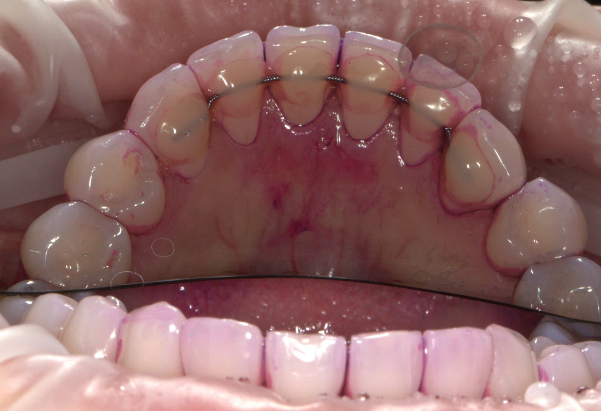
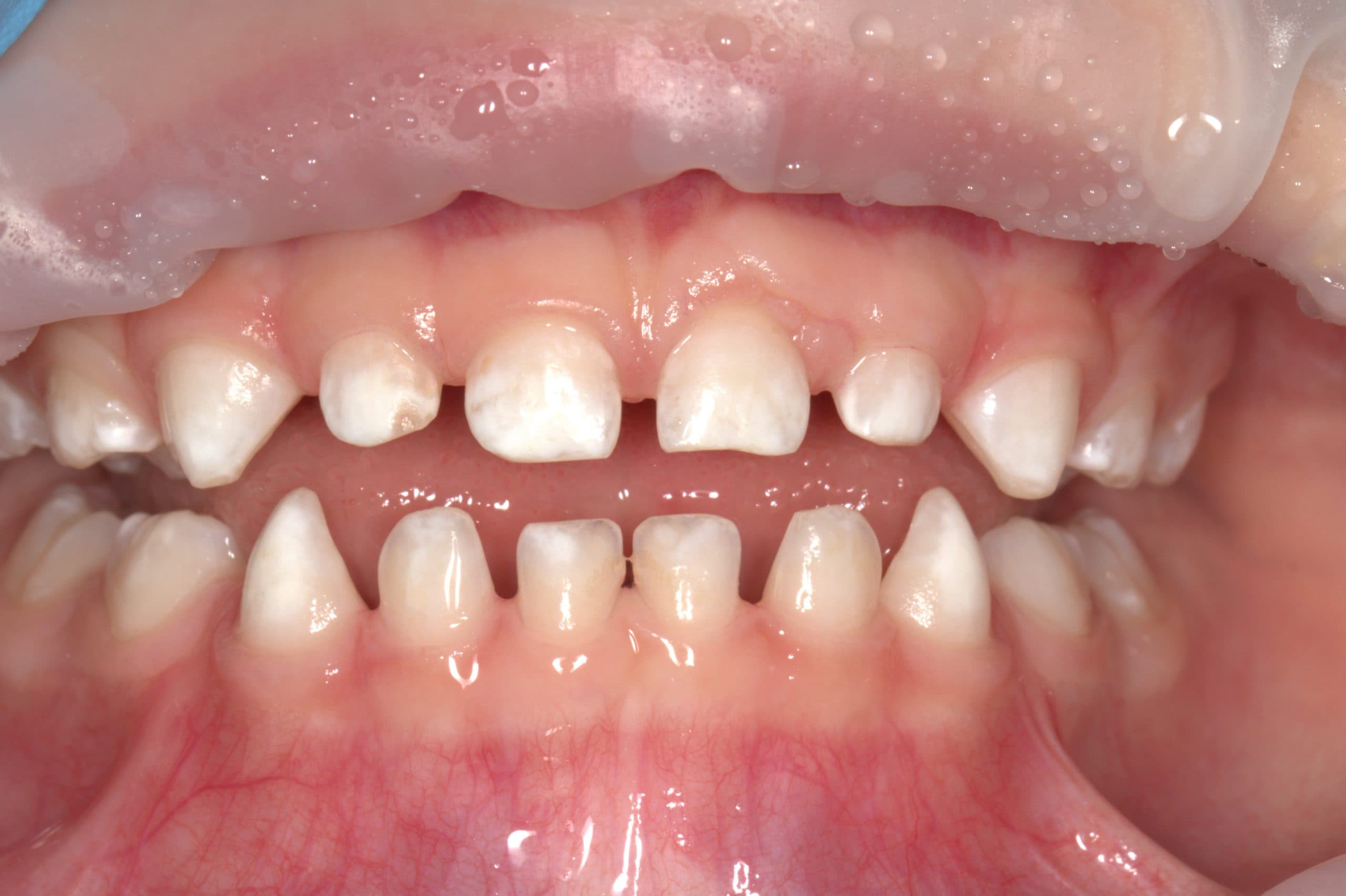
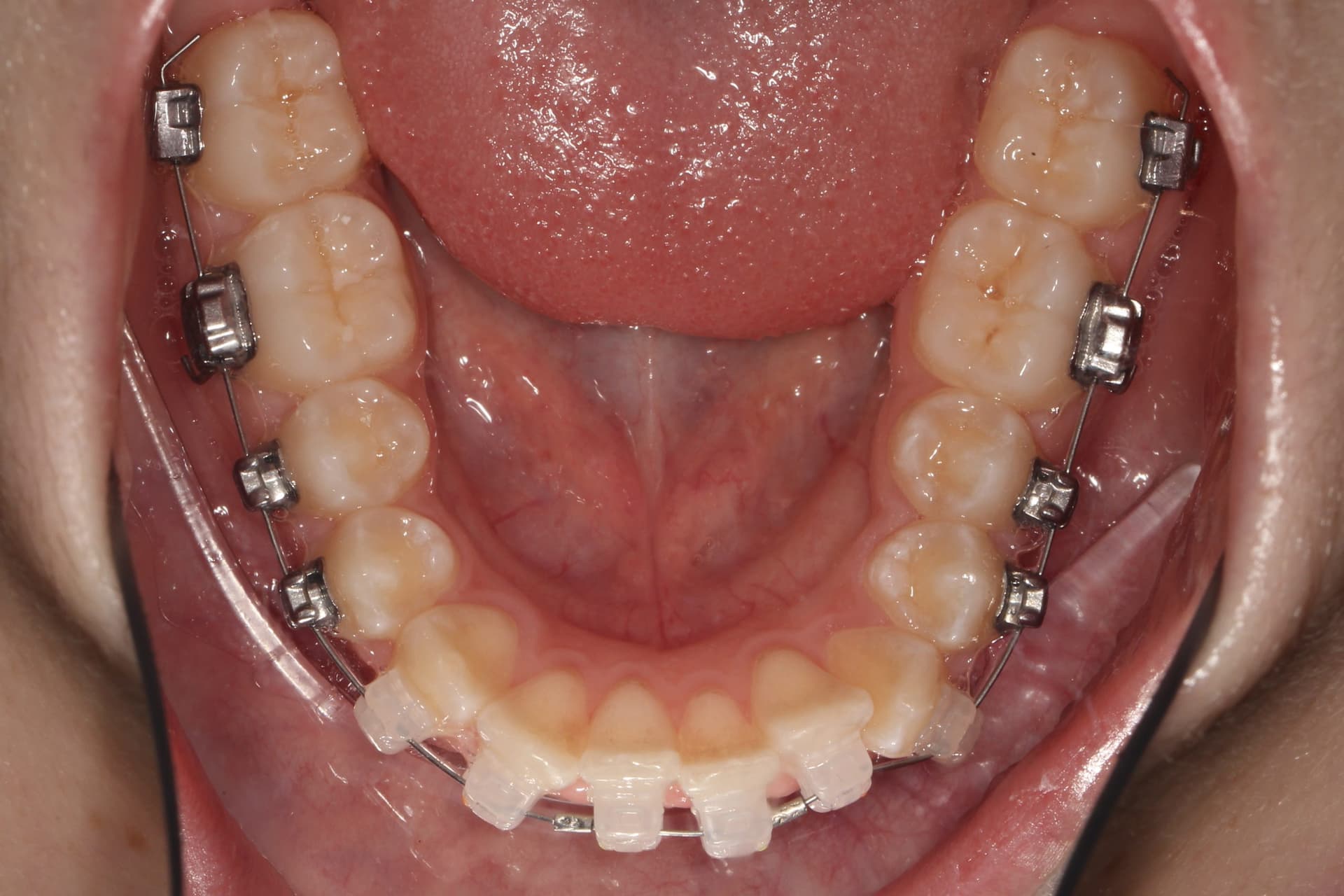
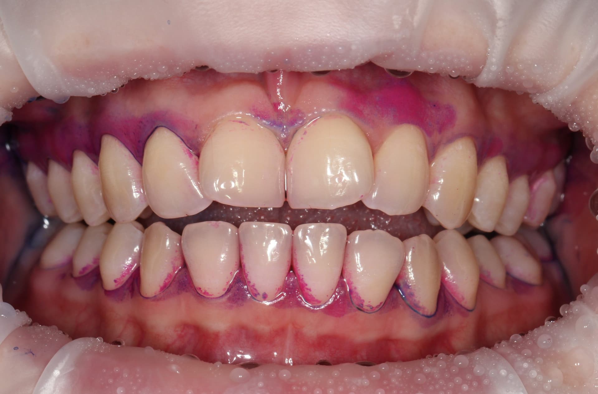
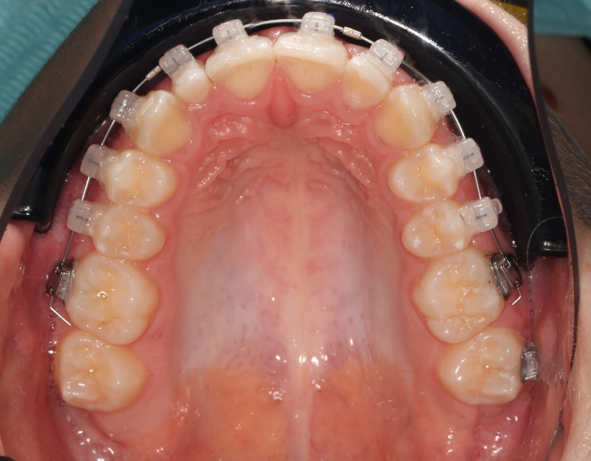
Пациентка Н. обратилась с жалобами на глубокое перекрытие резцов, вестибулярное положение клыков на верхней челюсти, а также небный наклон резцов. Было принято решение проводить...
Врач: Дарья Макарова






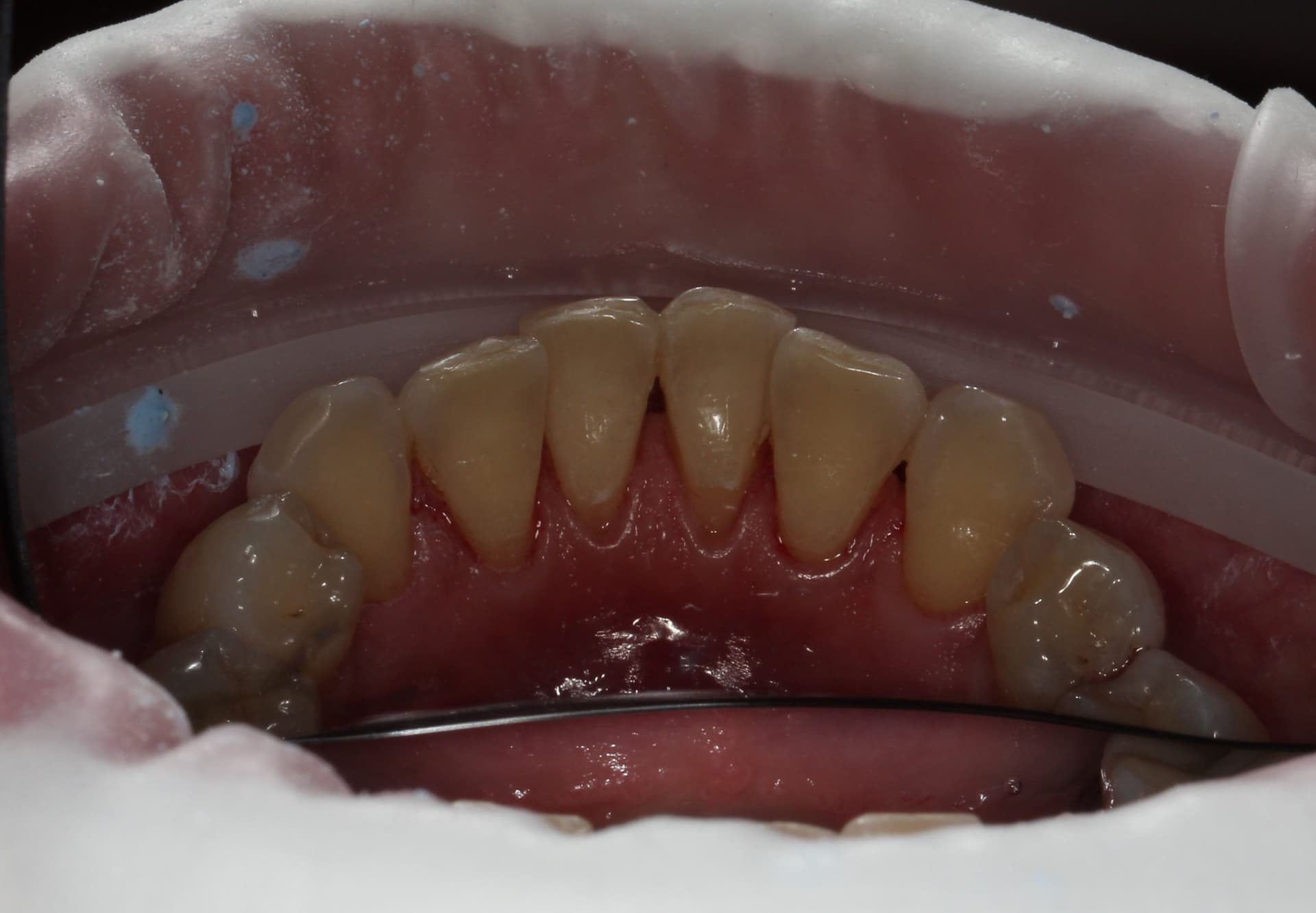
Пациентка А. 14 лет обратилась с жалобой на эстетику и преждевременную потерю постоянного моляра
Врач: Дарья Макарова






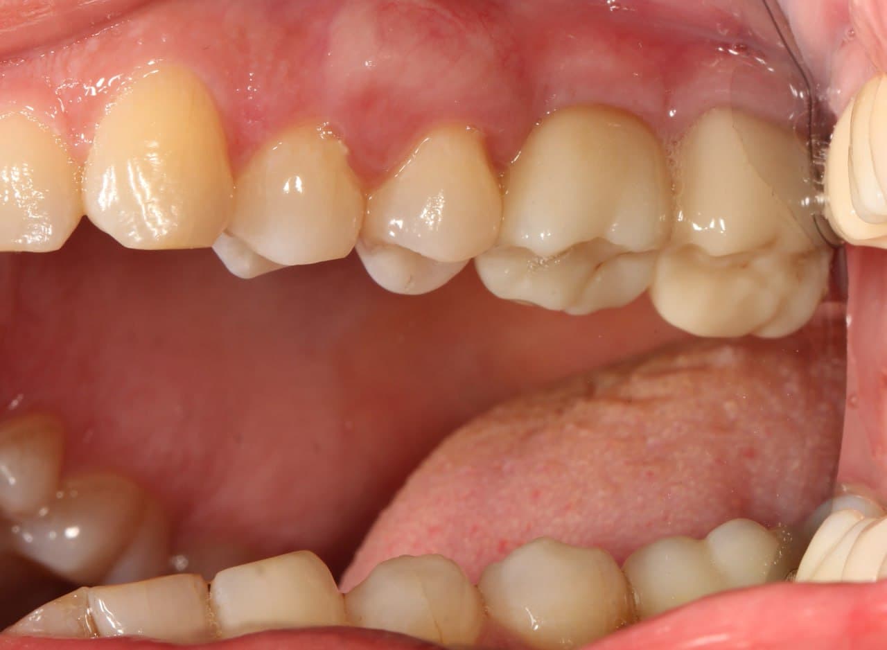
Пациентка А. 20 лет обратилась с жалобой на непрорезавшийся клык на верхней челюсти справа
Врач: Дарья Макарова

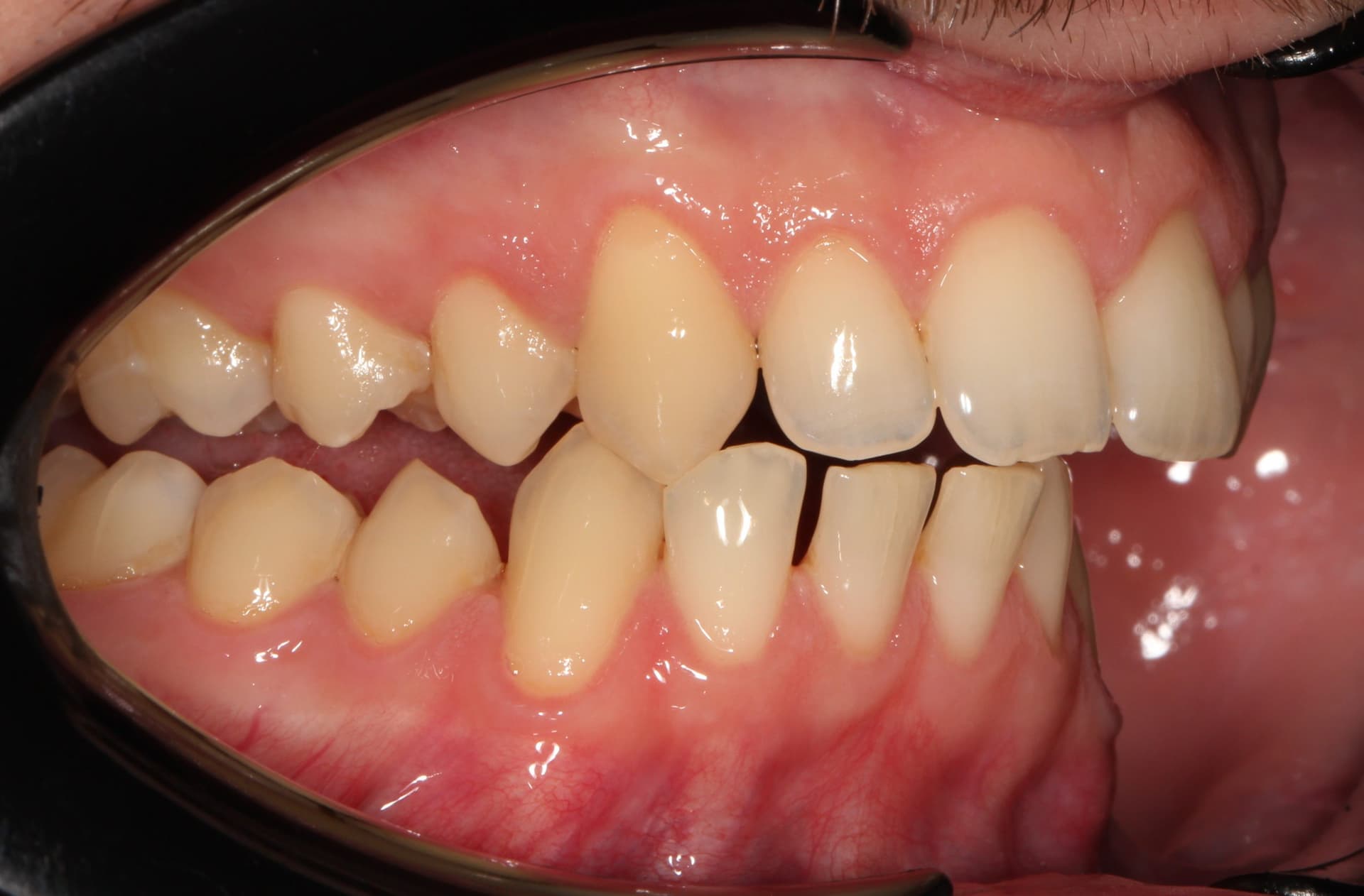
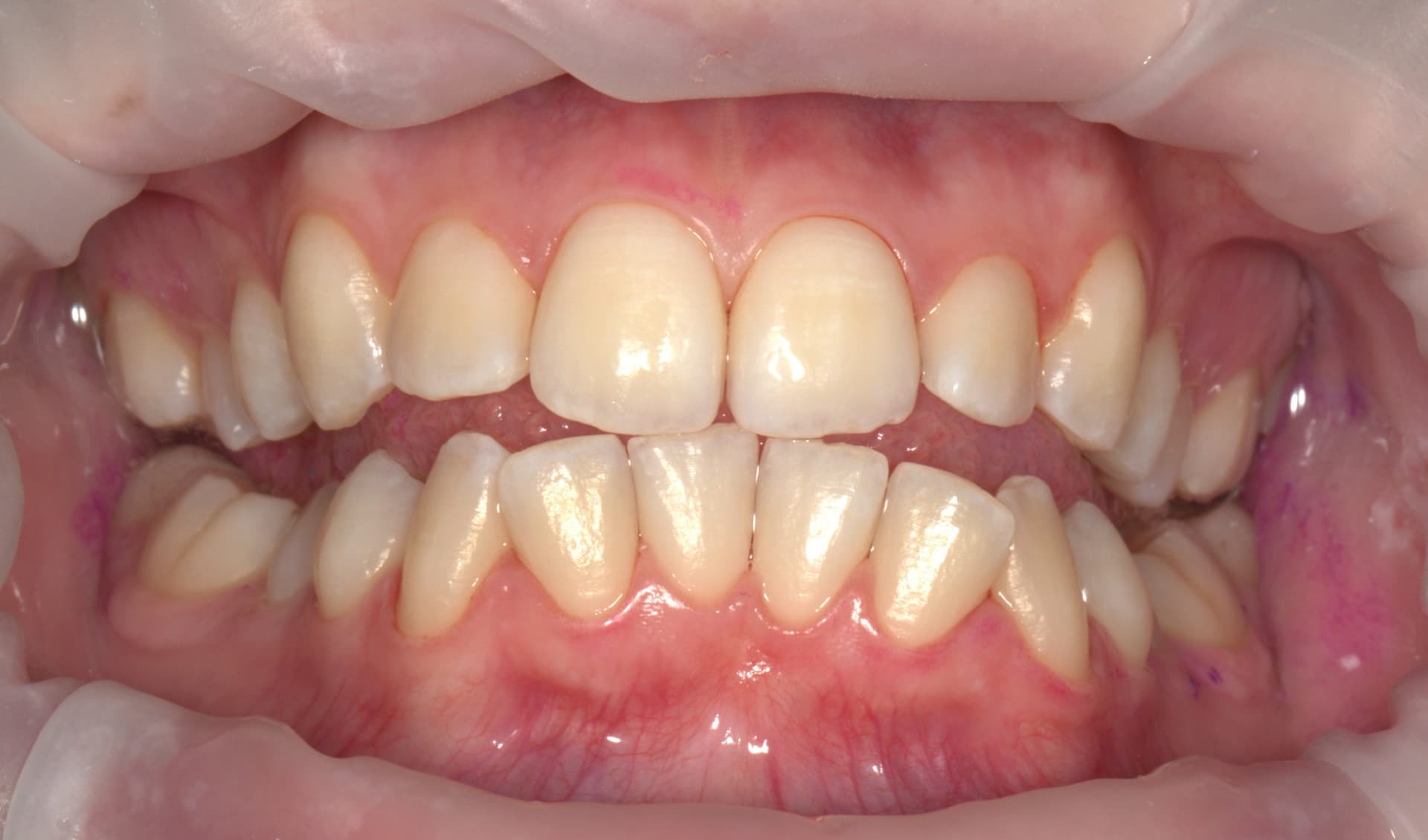
Пациентка А. обратилась с жалобами на узкую улыбку, а также выступающую вперед нижнюю челюсть. На верхнюю челюсть зафиксирован несъемный расширяющий аппарат Марко Росса с крючка...
Врач: Дарья Макарова





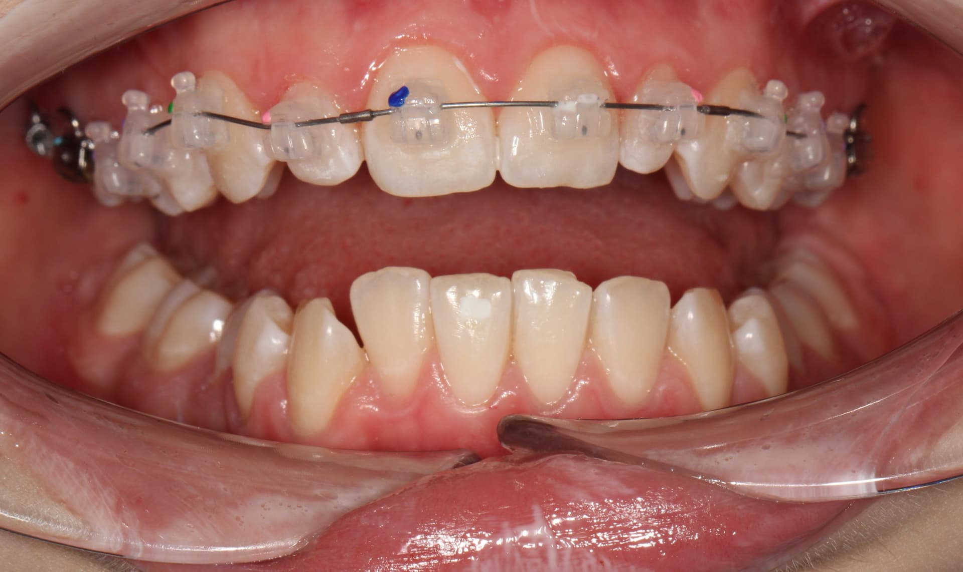
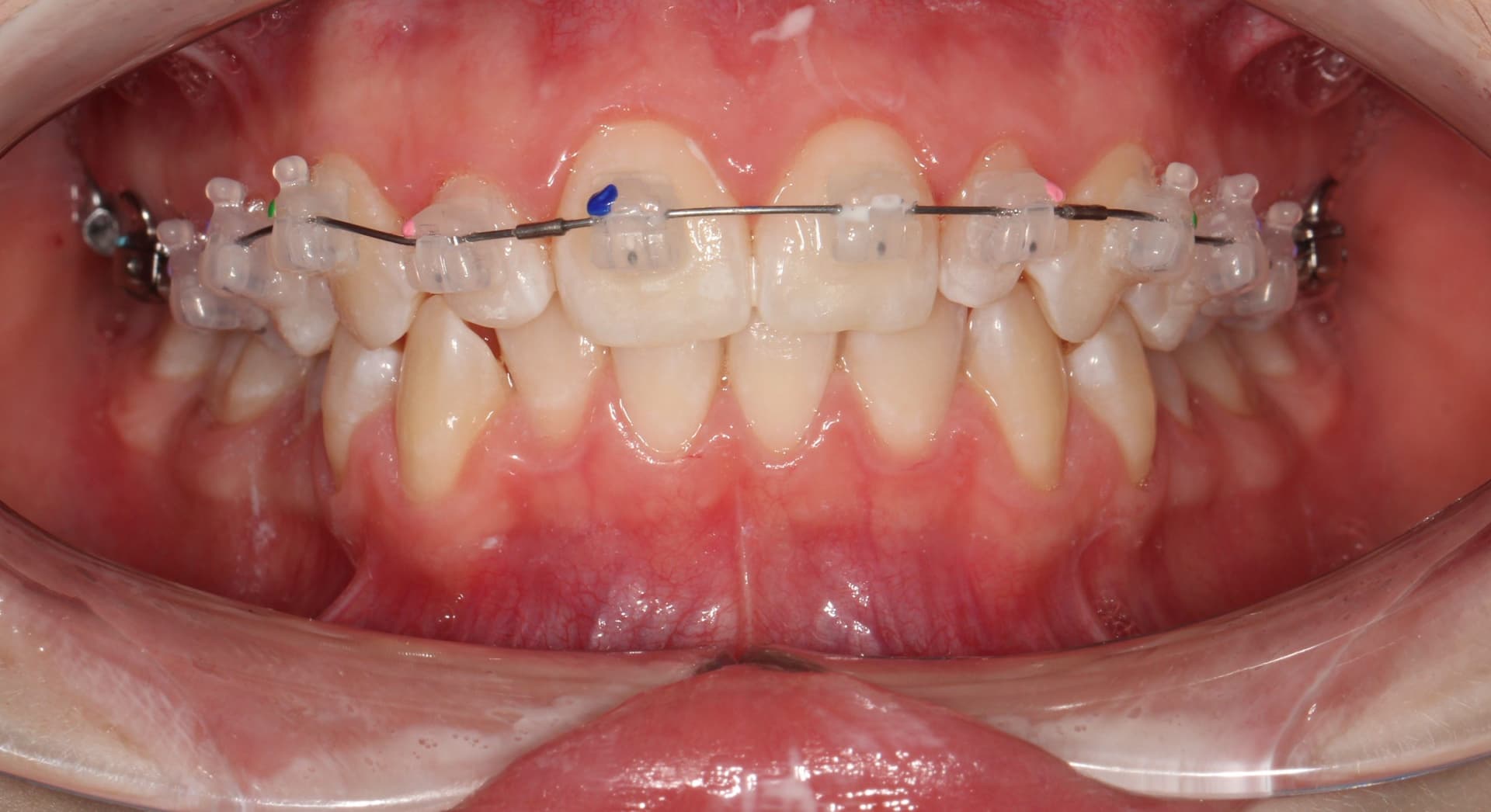
Пациентка П. обратилась с жалобами на эстетические нарушения, а также боль в области жевательных мышц. Лечение решено проводить на эстетической керамической брекет-системе Damon...
Врач: Дарья Макарова




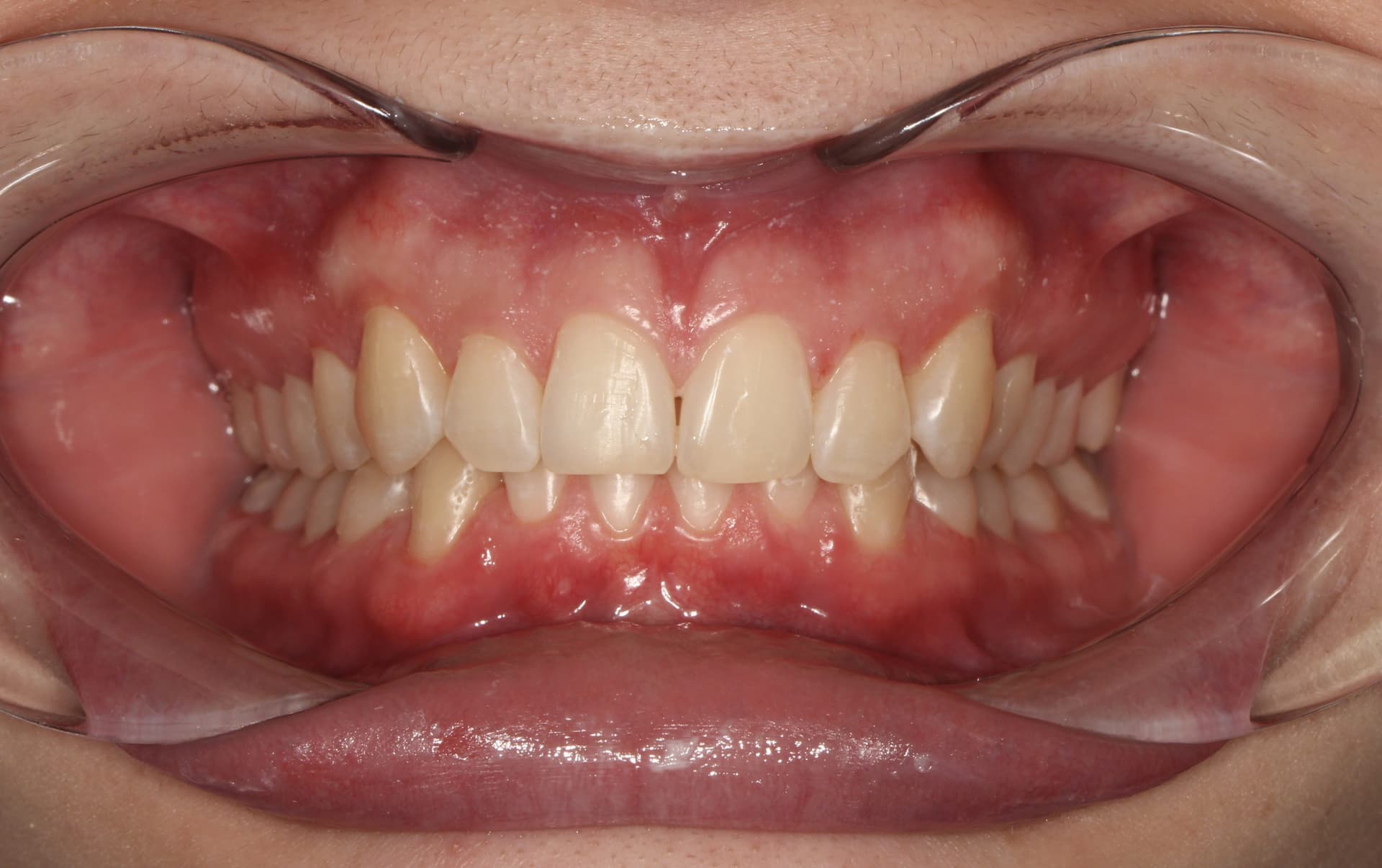
История обращения:
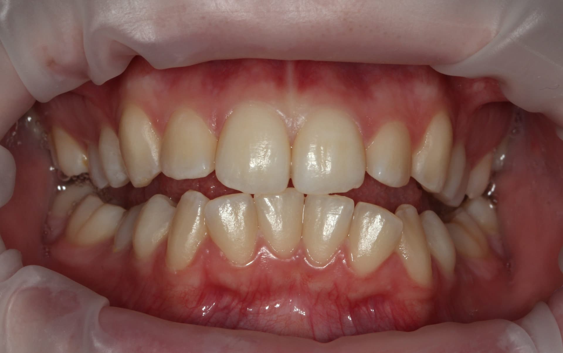
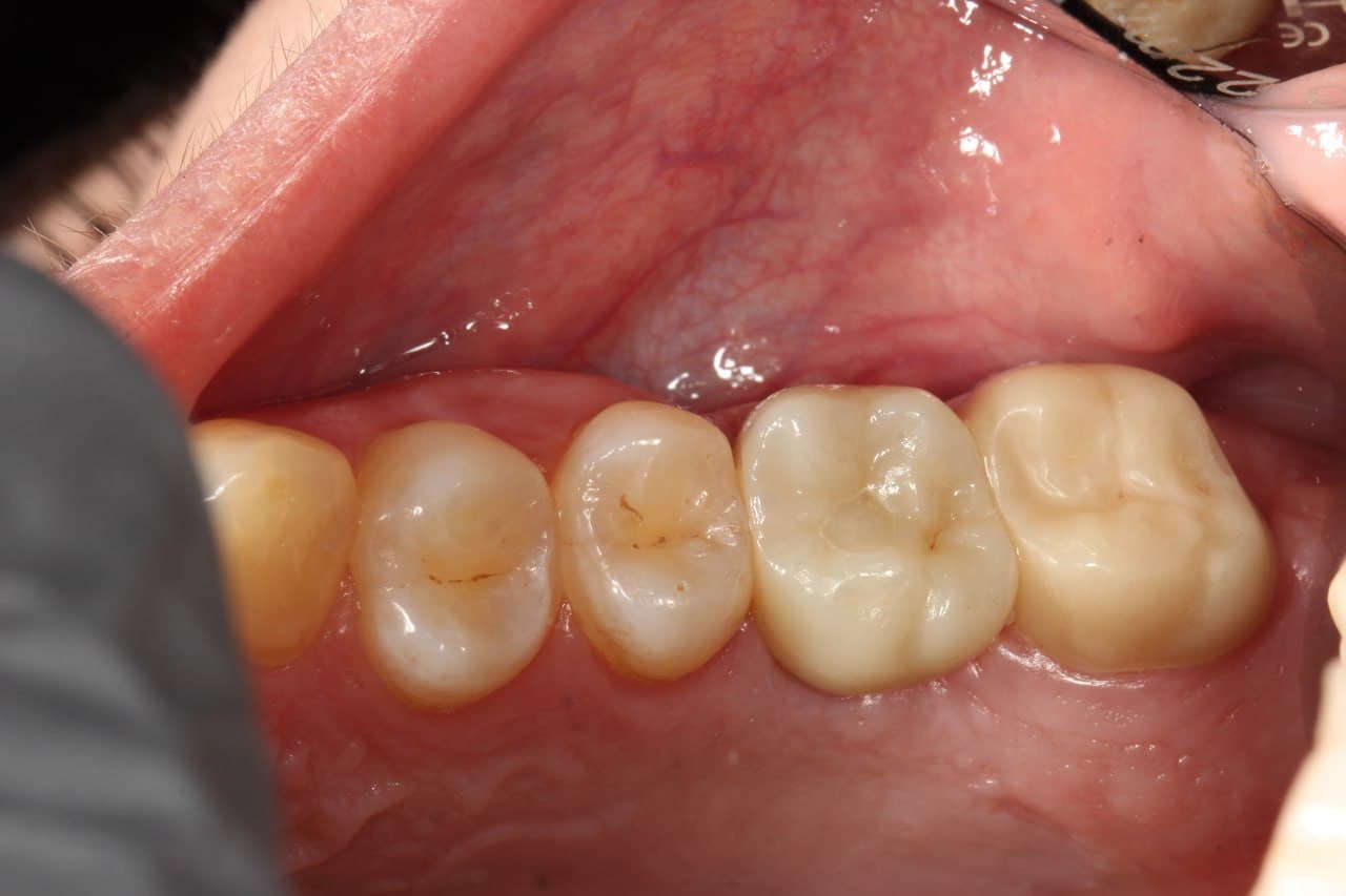
Пациент обратился с жалобами на разрушенные пломбы на жевательных зубах нижней челюсти. Реставрации были несостоятельны, по краям обнаружен вторичный к...
Врач: Герман Татаринцев


Съемный пластиночный аппарат на верхнюю челюсть с расширяющим винтом
Врач: Дарья Макарова


Пациент 9 лет обратился с жалобой на обратную резцовую окклюзию. После диагностики был назначен съемный пластиночный аппарат с винтом на верхнюю челюсть. Результат спустя 8 меся...
Врач: Дарья Макарова






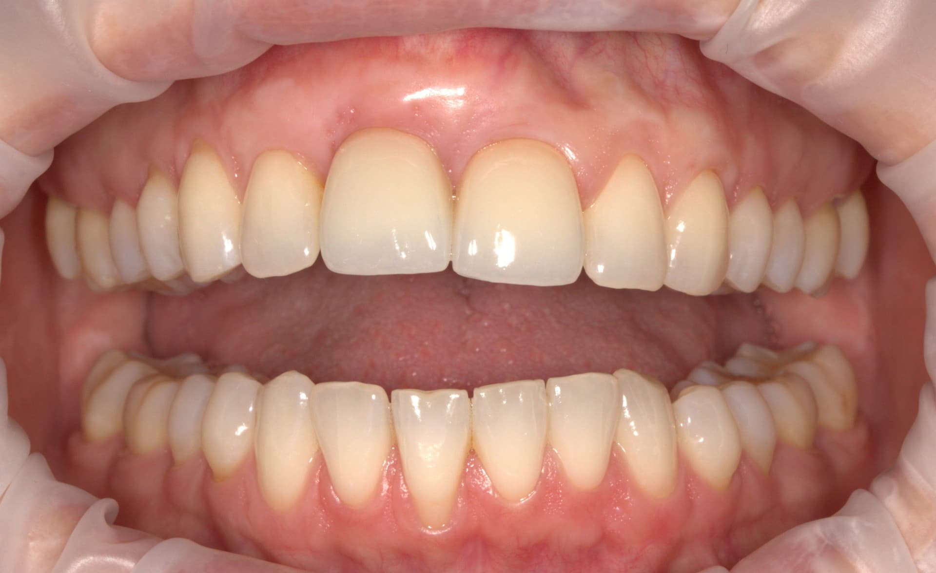
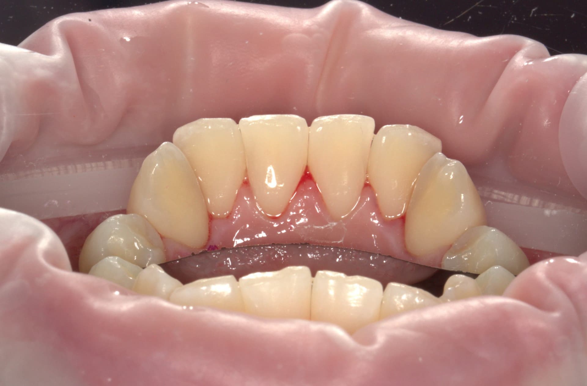
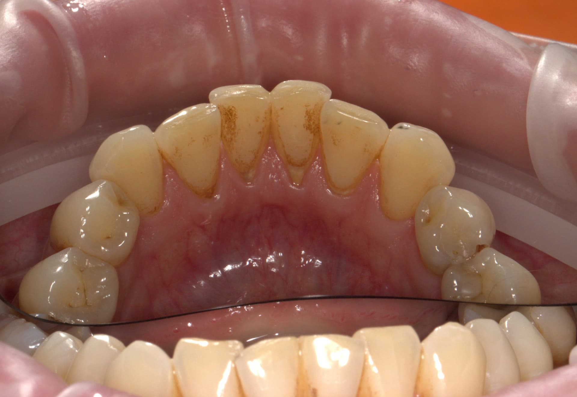
Профессиональная гигиена в стоматологии «Дентал Нео» — это комплексная процедура по тщательному удалению зубного налета и камня с помощью ультразвука и технологии Air Flow. Спец...
Врач: Дарья Гончарова






GBT-гигиена — это профессиональная чистка зубов по протоколу Guided Biofilm Therapy.
Она проводится с использованием новейшего оборудования и мягких порошков AirFlow®, ко...
Врач: Дарья Гончарова






GBT-гигиена — это профессиональная чистка зубов по протоколу Guided Biofilm Therapy.
Она проводится с использованием новейшего оборудования и мягких порошков AirFlow®, ко...
Врач: Дарья Гончарова








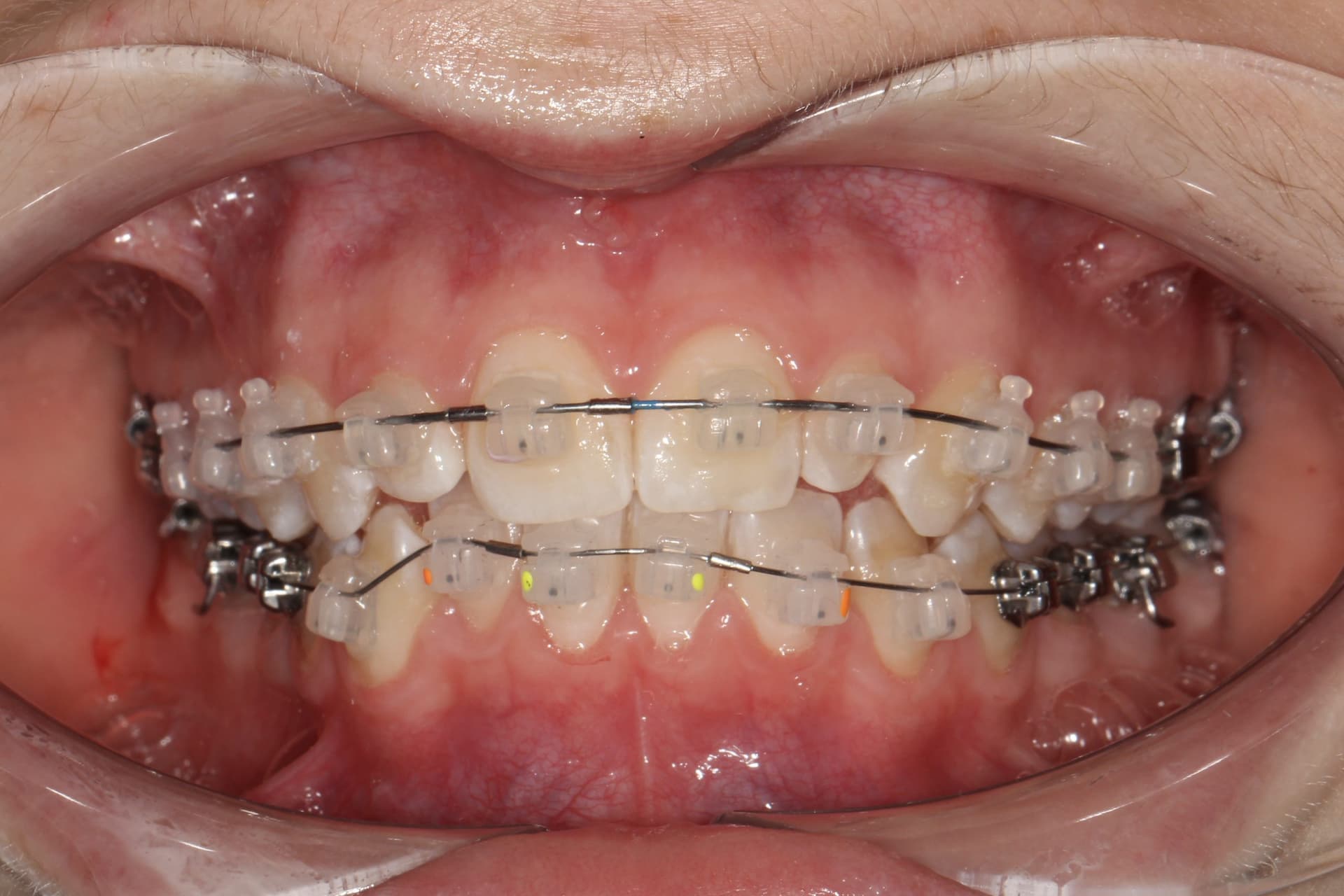
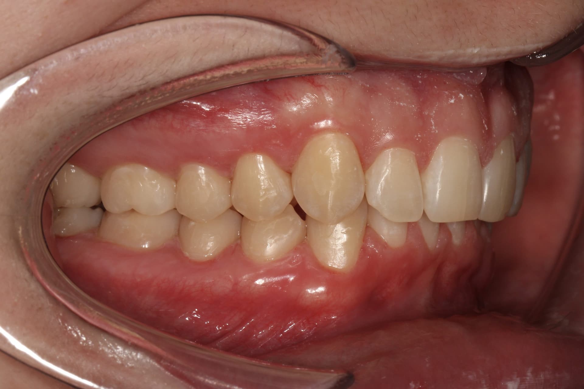
Пациент М., обратился с жалобами на эстетику улыбки, заднее положение нижней челюсти. На первом этапе зафиксировали брекет-систему не верхнюю челюсть, планируется фиксация бреке...
Врач: Дарья Макарова


Профессиональная гигиена у детей позволяет вовремя удалить зубной налет и предотвратить развитие кариеса. Во время процедуры мы обучаем ребёнка п...
Врач: Дарья Гончарова


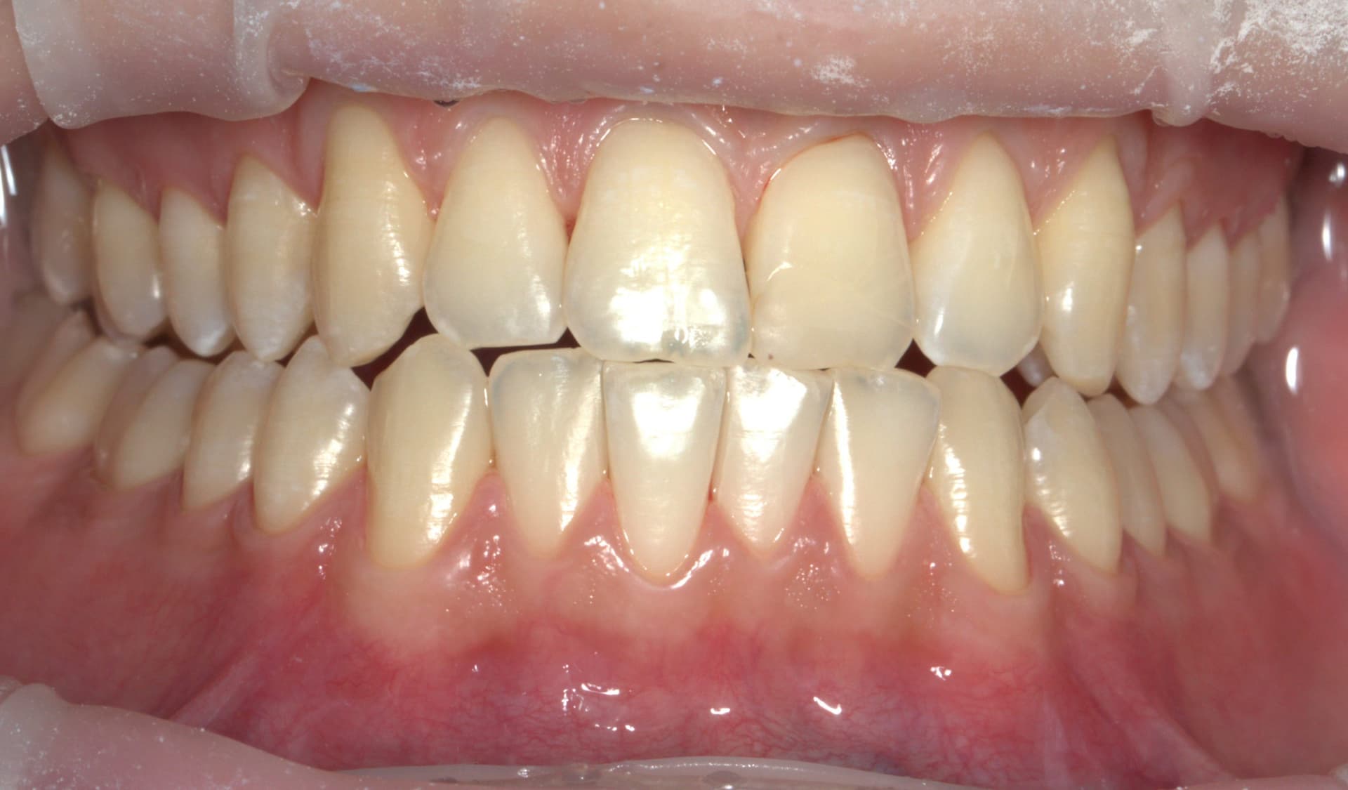
Система Zoom 4 (Philips ZOOM! WhiteSpeed) осветляет эмаль до 8-12 тонов (зависит от индивидуальных особенностей) тонов всего за одну процедуру. О...
Врач: Дарья Гончарова




GBT-гигиена — это профессиональная чистка зубов по протоколу Guided Biofilm Therapy.
Она проводится с использованием новейшего оборудования и мягких порошков AirFlow®, ко...
Врач: Дарья Гончарова

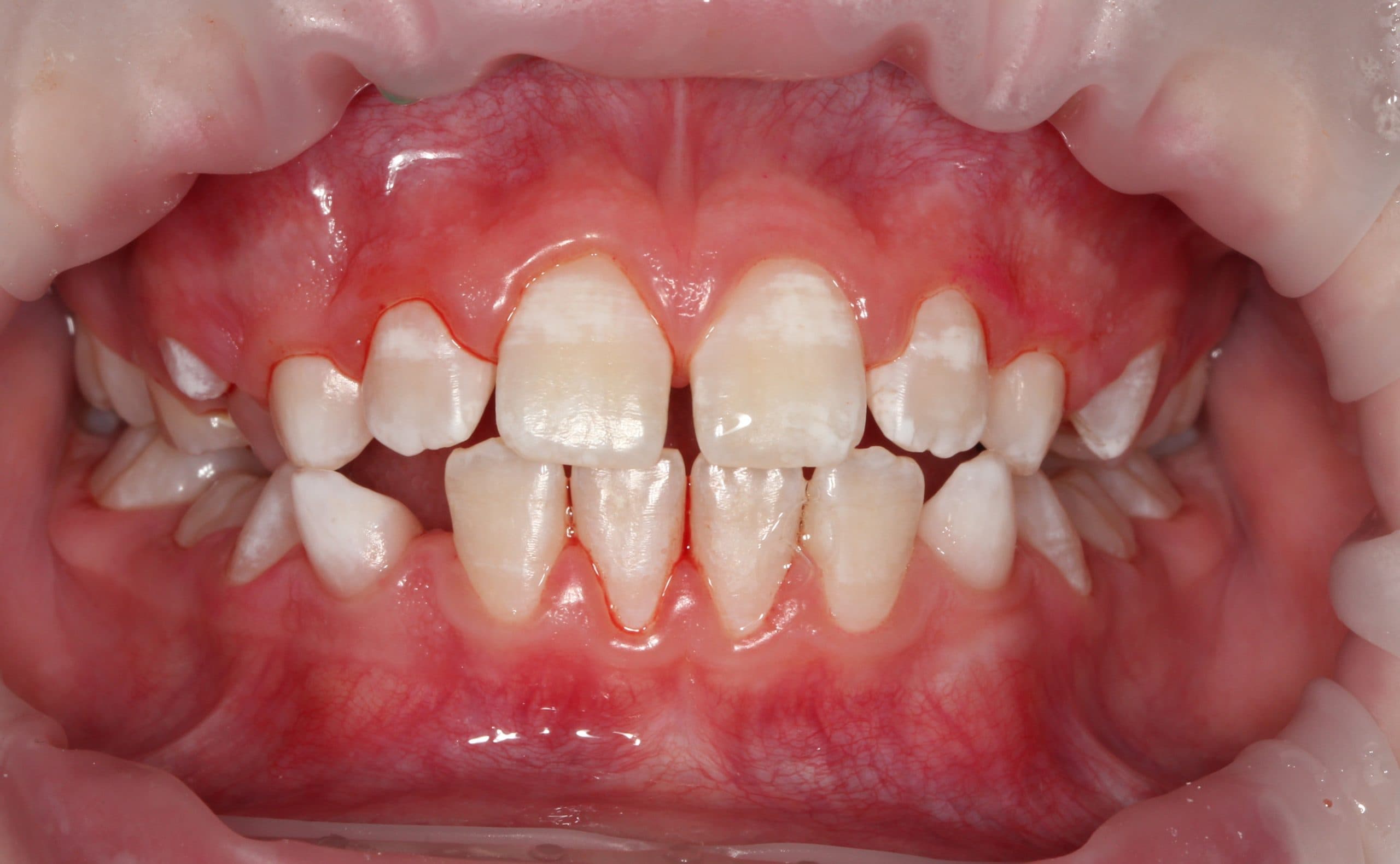
ЗАЧЕМ НУЖНА ГЕРМЕТИЗАЦИЯ ФИССУР?
Фиссуры — это бороздки на жевательной поверхности зубов. У детей они глубокие и легко «собирают» остатки еды и микробы. Почистить их щётко...
Врач: Светлана Антипова


Конструкция для фиксации места при преждевременной потери молочного зуба.
Врач: Дарья Макарова


Пациентка обратилась с желанием украсить улыбку и сделать её более выразительной — после консультации мы подобрали идеальный скайс и аккуратно зафиксировали его на переднем зубе...
Врач: Дарья Гончарова


GBT-гигиена — это профессиональная чистка зубов по протоколу Guided Biofilm Therapy.
Она проводится с использованием новейшего оборудования и мягких порошков AirFlow®, ко...
Врач: Дарья Гончарова




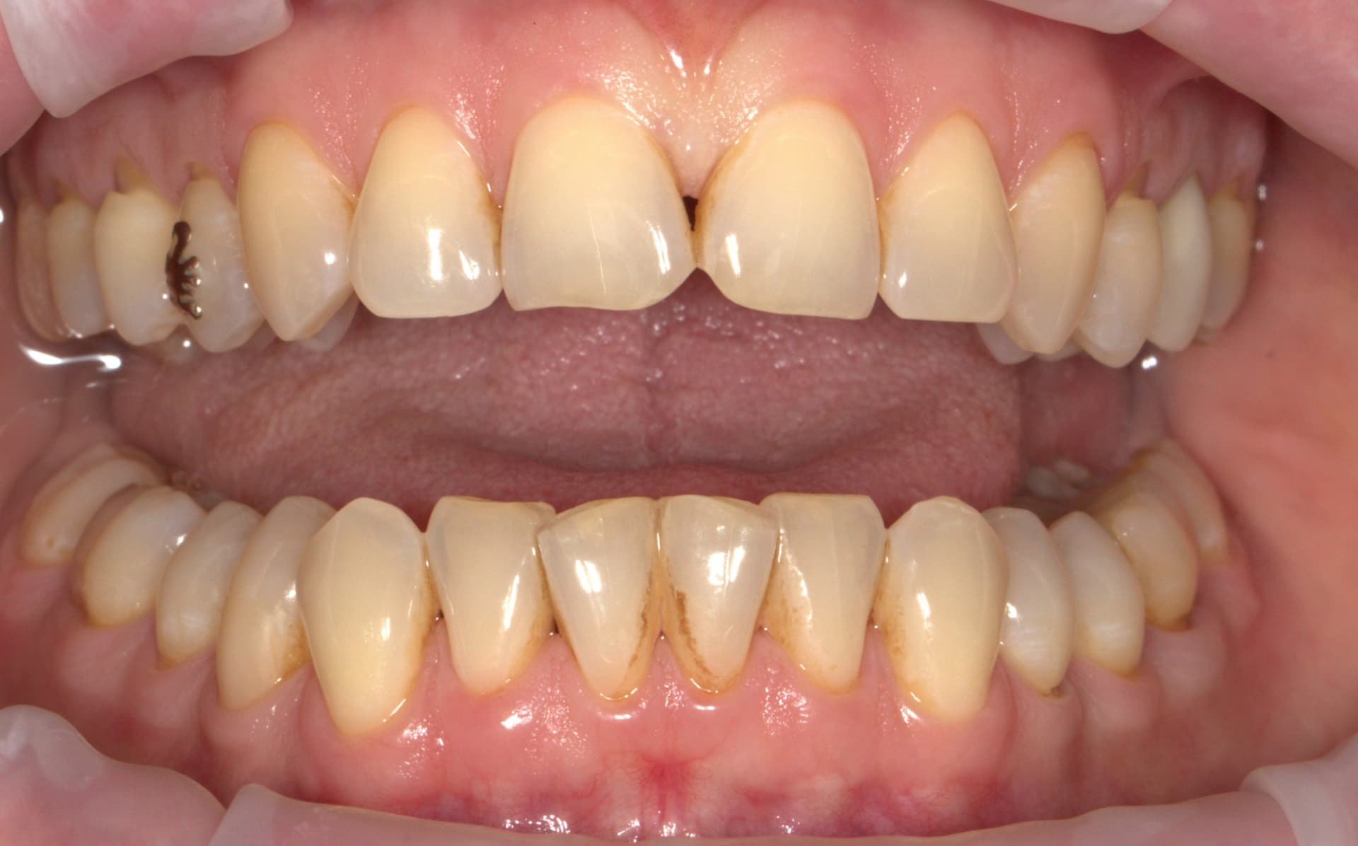
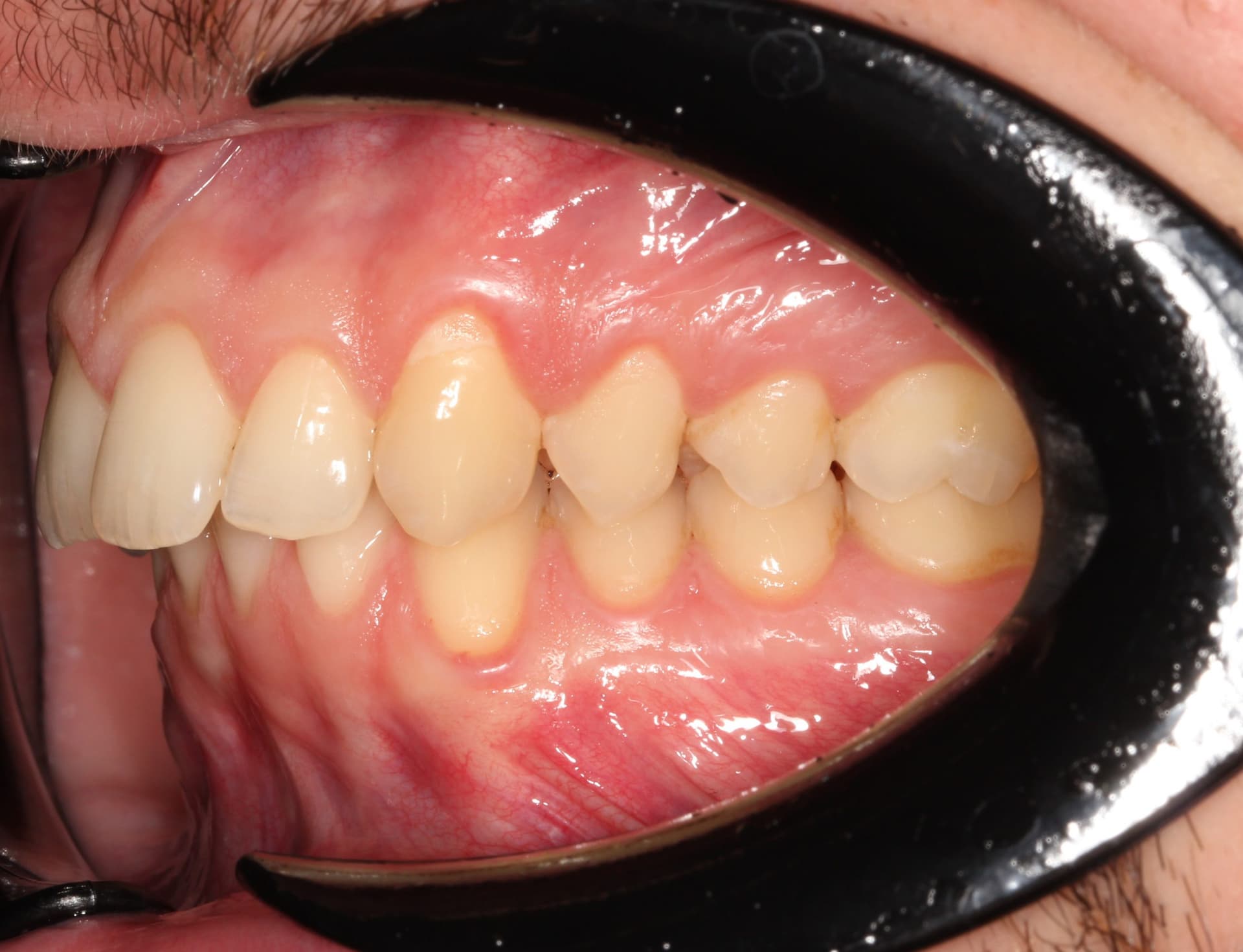
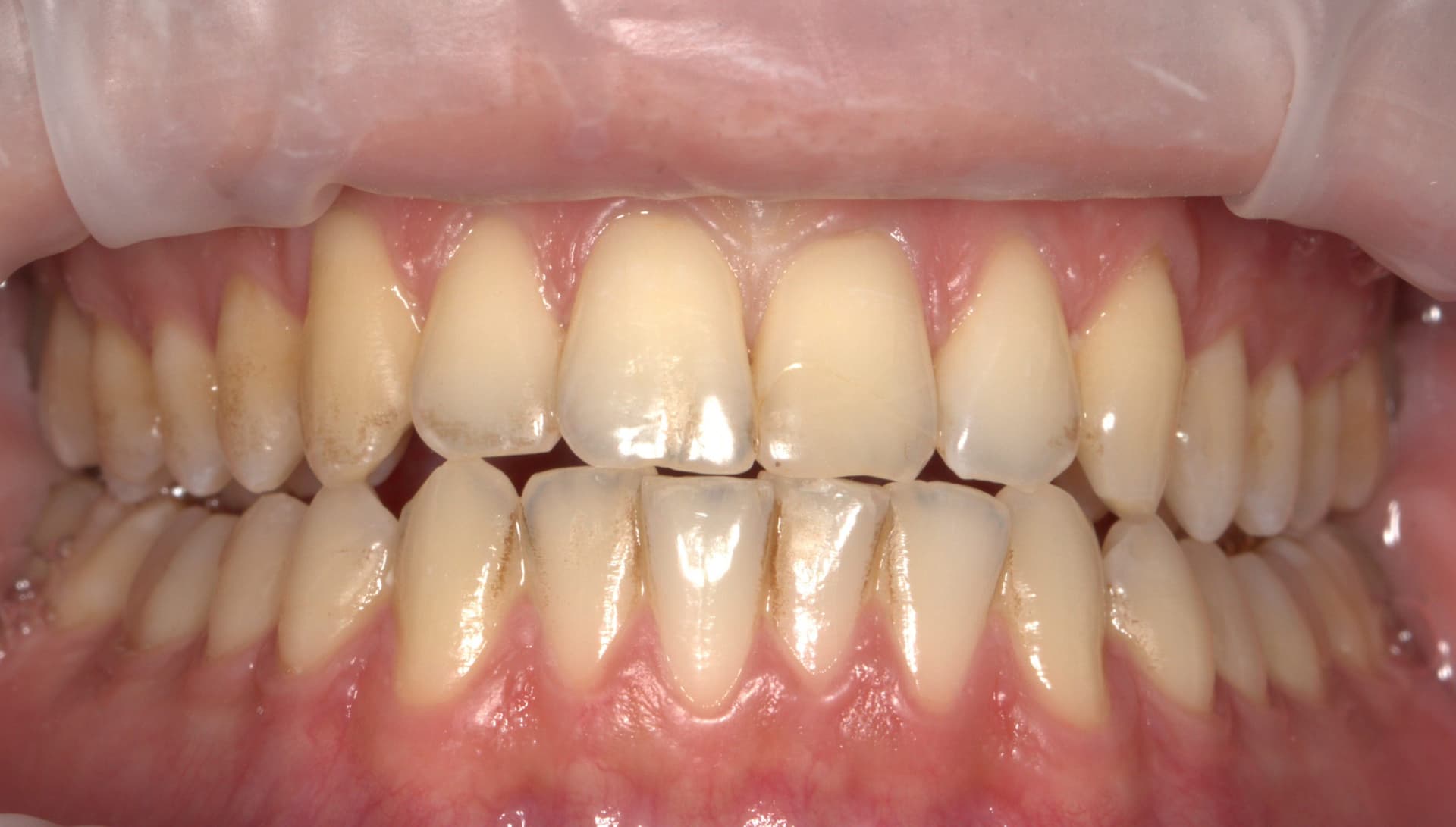
Пациент обратился с жалобой на скол пломбы на ранее пролеченном зубе. На приёме была проведена диагностика и принято решение о повторном лечении. Старая пломба была удалена, вып...
Врач: Светлана Антипова





GBT-гигиена — это профессиональная чистка зубов по протоколу Guided Biofilm Therapy.
Она проводится с использованием новейшего оборудования и мягких порошков AirFlow®, ко...
Врач: Дарья Гончарова






GBT-гигиена — это профессиональная чистка зубов по протоколу Guided Biofilm Therapy.
Она проводится с использованием новейшего оборудования и мягких порошков AirFlow®, ко...
Врач: Дарья Гончарова



Ребёнок 7 лет был приведён родителями на плановый профилактический осмотр. В ходе осмотра выявлен кариес молочных зубов на контактных поверхностях.
Лечение проведено под ...
Врач: Светлана Антипова
ответили на самые частые вопросы наших пациентов
